扫码关注公众号           扫码咨询技术支持           扫码咨询技术服务
  
客服热线:400-901-9800  客服QQ:4009019800  技术答疑  技术支持  质量反馈  人才招聘  关于我们  联系我们
产品中心-北京博奥森生物技术有限公司
首页 > 产品中心 > 试剂盒 > 产品信息
Human Ferritin Heavy Chain Ready-To-Use IHC Kit (IHC0430H)  
订购热线:400-901-9800
订购邮箱:sales@bioss.com.cn
订购QQ:  400-901-9800
技术支持:techsupport@bioss.com.cn
50T/3200.00元
大包装/询价

产品编号 IHC0430H
英文名称 Human Ferritin Heavy Chain Ready-To-Use IHC Kit
中文名称 人铁蛋白即用型免疫组化试剂盒
别    名 Apoferritin; Cell proliferation inducing gene 15 protein; F HC; Ferritin H subunit; Ferritin heavy chain; Ferritin heavy polypeptide 1; FHC; FRIH; FTH 1; FTH; FTH1; FTH1 protein; FTHL 6; FTHL6; Iron overload autosomal dominant; MGC104426; OK/SW-cl.84; PIG 15; PIG15; Placenta immunoregulatory factor; PLIF; Proliferation inducing gene 15 protein; Proliferation inducing protein 15; FRIH_HUMAN; HFE5; HFt; MFH  
克 隆 号
适用样品基质 FFPE tissue
保存条件 Please store components at the temperatures indicated on the individual tube labels. The kit is stable for 6 months from the date of receipt.
产品介绍 FTH1 is the heavy subunit of ferritin, the major intracellular iron storage protein in prokaryotes and eukaryotes. It is composed of 24 subunits of the heavy and light ferritin chains. Variation in ferritin subunit composition may affect the rates of iron uptake and release in different tissues. A major function of ferritin is the storage of iron in a soluble and nontoxic state. Defects in ferritin proteins are associated with several neurodegenerative diseases. This gene has multiple pseudogenes. Several alternatively spliced transcript variants have been observed, but their biological validity has not been determined.

SWISS:
P02794

Gene ID:
2495

产品图片
Immunohistochemical analysis of paraffin embedded human breast cancer tissue slide using IHC0430H (Human Ferritin Heavy Chain IHC Kit).
Immunohistochemical analysis of paraffin embedded human spleen tissue slide using IHC0430H (Human Ferritin Heavy Chain IHC Kit).
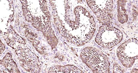
Immunohistochemical analysis of paraffin embedded human testis tissue slide using IHC0430H (Human Ferritin Heavy Chain IHC Kit).
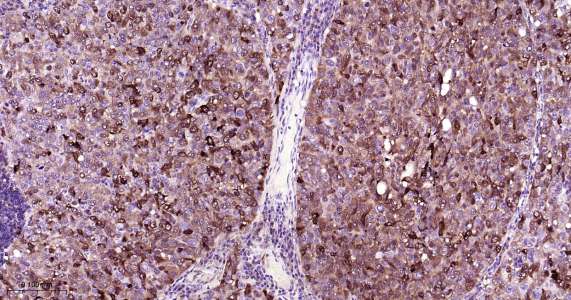
Immunohistochemical analysis of paraffin embedded human liver tissue slide using IHC0430H (Human Ferritin Heavy Chain IHC Kit).
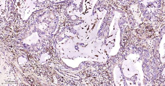
Immunohistochemical analysis of paraffin embedded human lung cancer tissue slide using IHC0430H (Human Ferritin Heavy Chain IHC Kit).
Immunohistochemical analysis of paraffin embedded human lung tissue slide using IHC0430H (Human Ferritin Heavy Chain IHC Kit).
版权所有 2004-2026 www.bioss.com.cn 北京博奥森生物技术有限公司
通过国际质量管理体系ISO 9001:2015 GB/T 19001-2016    证书编号: 00124Q34771R2M/1100
通过国际医疗器械-质量管理体系ISO 13485:2016 GB/T 42061-2022     证书编号: CQC24QY20047R0M/1100
京ICP备05066980号-1         京公网安备110107000727号