扫码关注公众号           扫码咨询技术支持           扫码咨询技术服务
  
客服热线:400-901-9800  客服QQ:4009019800  技术答疑  技术支持  质量反馈  人才招聘  关于我们  联系我们
产品中心-北京博奥森生物技术有限公司
首页 > 产品中心 > 试剂盒 > 产品信息
Cdk5 Ready-To-Use IHC Kit (IHC0431)  
订购热线:400-901-9800
订购邮箱:sales@bioss.com.cn
订购QQ:  400-901-9800
技术支持:techsupport@bioss.com.cn
50T/3200.00元
大包装/询价

产品编号 IHC0431
英文名称 Cdk5 Ready-To-Use IHC Kit
中文名称 周期素依赖性激酶5即用型免疫组化试剂盒
别    名 AW048668; CDK5; CDKN5; LIS7; Cdk 5; Cell division protein kinase 5; Crk6; Cyclin dependent kinase 5; Protein kinase CDK5 splicing; PSSALRE; Serine threonine protein kinase PSSALRE; Tau protein kinase II catalytic subunit; TPKII catalytic subunit  
克 隆 号
适用样品基质 FFPE tissue
保存条件 Please store components at the temperatures indicated on the individual tube labels. The kit is stable for 6 months from the date of receipt.
产品介绍 CDK5 is a member of the Cyclin-Dependent Kinase family that is most abundant in the mammalian brain. Active form of CDK5, which has also been called neuronal cdc2-like kinase, is a heterodimer of CDK5 and a 25 kDa protein which is derived proteolytically from a 35 kDa brain and neuron-specific protein and is essential for the kinase activity of CDK5. CDK5 has emerged as a crucial regulator of neuronal migration in the developing central nervous system. CDK5 phosphorylates a diverse list of substrates, implicating it in the regulation of a range of cellular processes - from adhesion and motility, to synaptic plasticity and drug addiction.

SWISS:
Q00535

Gene ID:
1020

产品图片
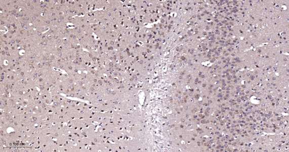
Immunohistochemical analysis of paraffin embedded mouse brain tissue slide using IHC0431 (Cdk5 IHC Kit).
Immunohistochemical analysis of paraffin embedded human brain tissue slide using IHC0431 (Cdk5 IHC Kit).
Immunohistochemical analysis of paraffin embedded rat brain tissue slide using IHC0431 (Cdk5 IHC Kit).
版权所有 2004-2026 www.bioss.com.cn 北京博奥森生物技术有限公司
通过国际质量管理体系ISO 9001:2015 GB/T 19001-2016    证书编号: 00124Q34771R2M/1100
通过国际医疗器械-质量管理体系ISO 13485:2016 GB/T 42061-2022     证书编号: CQC24QY20047R0M/1100
京ICP备05066980号-1         京公网安备110107000727号