扫码关注公众号           扫码咨询技术支持           扫码咨询技术服务
  
客服热线:400-901-9800  客服QQ:4009019800  技术答疑  技术支持  质量反馈  人才招聘  关于我们  联系我们
产品中心-北京博奥森生物技术有限公司
首页 > 产品中心 > 试剂盒 > 产品信息
Mouse Cdk5 Ready-To-Use IHC Kit (IHC0431M)  
订购热线:400-901-9800
订购邮箱:sales@bioss.com.cn
订购QQ:  400-901-9800
技术支持:techsupport@bioss.com.cn
50T/3200.00元
大包装/询价

产品编号 IHC0431M
英文名称 Mouse Cdk5 Ready-To-Use IHC Kit
中文名称 小鼠周期素依赖性激酶5即用型免疫组化试剂盒
别    名 AW048668; CDK5; CDKN5; LIS7; Cdk 5; Cell division protein kinase 5; Crk6; Cyclin dependent kinase 5; Protein kinase CDK5 splicing; PSSALRE; Serine threonine protein kinase PSSALRE; Tau protein kinase II catalytic subunit; TPKII catalytic subunit  
克 隆 号
适用样品基质 FFPE tissue
保存条件 Please store components at the temperatures indicated on the individual tube labels. The kit is stable for 6 months from the date of receipt.
产品介绍 CDK5 is a member of the Cyclin-Dependent Kinase family that is most abundant in the mammalian brain. Active form of CDK5, which has also been called neuronal cdc2-like kinase, is a heterodimer of CDK5 and a 25 kDa protein which is derived proteolytically from a 35 kDa brain and neuron-specific protein and is essential for the kinase activity of CDK5. CDK5 has emerged as a crucial regulator of neuronal migration in the developing central nervous system. CDK5 phosphorylates a diverse list of substrates, implicating it in the regulation of a range of cellular processes - from adhesion and motility, to synaptic plasticity and drug addiction.

SWISS:
Q00535

Gene ID:
1020

产品图片
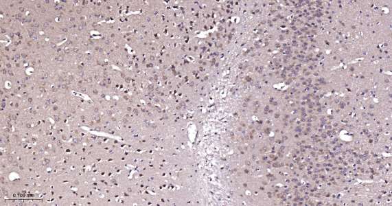
Immunohistochemical analysis of paraffin embedded mouse brain tissue slide using IHC0431M (Mouse Cdk5 IHC Kit).
版权所有 2004-2026 www.bioss.com.cn 北京博奥森生物技术有限公司
通过国际质量管理体系ISO 9001:2015 GB/T 19001-2016    证书编号: 00124Q34771R2M/1100
通过国际医疗器械-质量管理体系ISO 13485:2016 GB/T 42061-2022     证书编号: CQC24QY20047R0M/1100
京ICP备05066980号-1         京公网安备110107000727号