扫码关注公众号           扫码咨询技术支持           扫码咨询技术服务
  
客服热线:400-901-9800  客服QQ:4009019800  技术答疑  技术支持  质量反馈  人才招聘  关于我们  联系我们
产品中心-北京博奥森生物技术有限公司
首页 > 产品中心 > 试剂盒 > 产品信息
Human Placental alkaline phosphatase (PLAP) Ready-To-Use IHC Kit (IHC0432H)  
订购热线:400-901-9800
订购邮箱:sales@bioss.com.cn
订购QQ:  400-901-9800
技术支持:techsupport@bioss.com.cn
50T/3200.00元
大包装/询价

产品编号 IHC0432H
英文名称 Human Placental alkaline phosphatase (PLAP) Ready-To-Use IHC Kit
中文名称 人碱性磷酸酶即用型免疫组化试剂盒
别    名 Alkaline phosphatase; Alkaline phosphatase placental; Alkaline phosphatase placental type; Alkaline phosphatase Regan isozyme; ALP; Alp1; ALPP; FLJ61142; Germ-cell alkaline phosphatase; nagao isozyme; PALP; PLAP; PLAP-1  
克 隆 号
适用样品基质 FFPE tissue
保存条件 Please store components at the temperatures indicated on the individual tube labels. The kit is stable for 6 months from the date of receipt.
产品介绍 Placental Alkaline Phosphatase plays an important role in the regulation of specific inflammatory disease processes. There are at least four distinct but related alkaline phosphatases: intestinal, placental, placental-like, and liver/bone/kidney for this form of alkaline phosphatase have been well characterized. Placental Alkaline Phosphatase reacts with a membrane-bound isoenzyme (Regan and Nagao type) of Placental Alkaline Phosphatase (PLAP) occurring in the placenta during the 3rd trimester of gestation. Placental Alkaline Phosphatase is useful in the identification of testicular germ cell tumors. Unlike germ cell tumors, PLAP-positive somatic cell tumors uniformly express epithelial membrane antigen (EMA). A proposed function of Placental Alkaline Phosphatase is matrix mineralization; however, mice that lack a functional form of this enzyme show normal skeletal development. Placental Alkaline Phosphatase has been linked directly to hypophosphatasia, a disorder that is characterized by hypercalcemia and includes skeletal defects. The character of hypophosphatasia can vary, however, depending on the specific mutation since this determines age of onset and severity of symptoms.

SWISS:
P05187

Gene ID:
250

产品图片
Immunohistochemical analysis of paraffin embedded human placenta tissue slide using IHC0432H (Human Placental alkaline phosphatase (PLAP) IHC Kit).
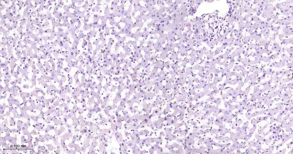
Immunohistochemical analysis of paraffin embedded human liver tissue slide using IHC0432H (Human Placental alkaline phosphatase (PLAP) IHC Kit).
版权所有 2004-2026 www.bioss.com.cn 北京博奥森生物技术有限公司
通过国际质量管理体系ISO 9001:2015 GB/T 19001-2016    证书编号: 00124Q34771R2M/1100
通过国际医疗器械-质量管理体系ISO 13485:2016 GB/T 42061-2022     证书编号: CQC24QY20047R0M/1100
京ICP备05066980号-1         京公网安备110107000727号