扫码关注公众号           扫码咨询技术支持           扫码咨询技术服务
  
客服热线:400-901-9800  客服QQ:4009019800  技术答疑  技术支持  质量反馈  人才招聘  关于我们  联系我们
产品中心-北京博奥森生物技术有限公司
首页 > 产品中心 > 试剂盒 > 产品信息
PI3 kinase p150 Ready-To-Use IHC Kit (IHC0434)  
订购热线:400-901-9800
订购邮箱:sales@bioss.com.cn
订购QQ:  400-901-9800
技术支持:techsupport@bioss.com.cn
50T/3200.00元
大包装/询价

产品编号 IHC0434
英文名称 PI3 kinase p150 Ready-To-Use IHC Kit
中文名称 磷酸肌肽3激酶调控亚基4即用型免疫组化试剂盒
别    名 2210010O15Rik; C730038E05Rik; C85833; D9Ertd418e; p150; PIK3R4; VPS15  
克 隆 号
适用样品基质 FFPE tissue
保存条件 Please store components at the temperatures indicated on the individual tube labels. The kit is stable for 6 months from the date of receipt.
产品介绍 Regulatory subunit of the PI3K complex that mediates formation of phosphatidylinositol 3-phosphate; different complex forms are believed to play a role in multiple membrane trafficking pathways: PI3KC3-C1 is involved in initiation of autophagosomes and PI3KC3-C2 in maturation of autophagosomes and endocytosis. Involved in regulation of degradative endocytic trafficking and cytokinesis, probably in the context of PI3KC3-C2 (PubMed:20643123).

SWISS:
Q99570

Gene ID:
30849

产品图片
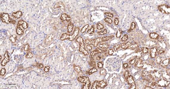
Immunohistochemical analysis of paraffin embedded mouse kidney tissue slide using IHC0434 (PI3 kinase p150 IHC Kit).
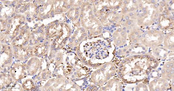
Immunohistochemical analysis of paraffin embedded human kidney tissue slide using IHC0434 (PI3 kinase p150 IHC Kit).
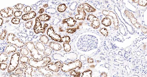
Immunohistochemical analysis of paraffin embedded rat kidney tissue slide using IHC0434 (PI3 kinase p150 IHC Kit).
版权所有 2004-2026 www.bioss.com.cn 北京博奥森生物技术有限公司
通过国际质量管理体系ISO 9001:2015 GB/T 19001-2016    证书编号: 00124Q34771R2M/1100
通过国际医疗器械-质量管理体系ISO 13485:2016 GB/T 42061-2022     证书编号: CQC24QY20047R0M/1100
京ICP备05066980号-1         京公网安备110107000727号