扫码关注公众号           扫码咨询技术支持           扫码咨询技术服务
  
客服热线:400-901-9800  客服QQ:4009019800  技术答疑  技术支持  质量反馈  人才招聘  关于我们  联系我们
产品中心-北京博奥森生物技术有限公司
首页 > 产品中心 > 试剂盒 > 产品信息
Human Arginase 1 Ready-To-Use IHC Kit (IHC0435H)  
订购热线:400-901-9800
订购邮箱:sales@bioss.com.cn
订购QQ:  400-901-9800
技术支持:techsupport@bioss.com.cn
50T/3200.00元
大包装/询价

产品编号 IHC0435H
英文名称 Human Arginase 1 Ready-To-Use IHC Kit
中文名称 人精氨酸酶1即用型免疫组化试剂盒
别    名 A I; Al; ARG 1; arg1; ARGI1_HUMAN; Arginase 1; Arginase liver; Arginase type I; Arginase; liver; Arginase-1; Arginase1; Liver type arginase; Liver-type arginase; Type I arginase; AI256583; Arg-1; ARG1; PGIF  
克 隆 号
适用样品基质 FFPE tissue
保存条件 Please store components at the temperatures indicated on the individual tube labels. The kit is stable for 6 months from the date of receipt.
产品介绍 Arginase-1 (Arg1) is a 35 kDa enzyme converting L-arginine to urea and L-ornithine, which is the final step in the urea cycle. The resulting polyamines are important for cell proliferation and removal of toxins that arise from protein degradation. By degrading arginine, Arginase 1 deprives NO synthase of its substrate and down-regulates nitric oxide production. In both human and mouse, Arginase 1 is expressed in the liver, neutrophils, myeloid derived suppressor cells (MDSC) and neural stem cells. In human, expression in blood neutrophils but not in CCR3+ granulocytes has been reported. In mice, expression of Arginase 1 is one of the hallmarks of alternatively activated macrophages (M2a). Arginase-1 may be expressed in the myeloid cells infiltrating tumors, and is typically found in the majority of hepatocellular carcinomas. Defects in Arginase 1 are the cause of argininemia, an autosomal recessive disorder characterized by hyperammonemia.

SWISS:
P05089

Gene ID:
383

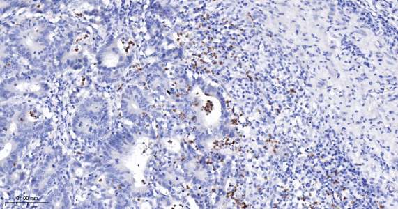
产品图片
Immunohistochemical analysis of paraffin embedded human brain tissue slide using IHC0435H (Human Arginase 1 IHC Kit).
Immunohistochemical analysis of paraffin embedded human colon cancer tissue slide using IHC0435H (Human Arginase 1 IHC Kit).
Immunohistochemical analysis of paraffin embedded human liver tissue slide using IHC0435H (Human Arginase 1 IHC Kit).
版权所有 2004-2026 www.bioss.com.cn 北京博奥森生物技术有限公司
通过国际质量管理体系ISO 9001:2015 GB/T 19001-2016    证书编号: 00124Q34771R2M/1100
通过国际医疗器械-质量管理体系ISO 13485:2016 GB/T 42061-2022     证书编号: CQC24QY20047R0M/1100
京ICP备05066980号-1         京公网安备110107000727号