扫码关注公众号           扫码咨询技术支持           扫码咨询技术服务
  
客服热线:400-901-9800  客服QQ:4009019800  技术答疑  技术支持  质量反馈  人才招聘  关于我们  联系我们
产品中心-北京博奥森生物技术有限公司
首页 > 产品中心 > 试剂盒 > 产品信息
Human TRAP1/HSP75 Ready-To-Use IHC Kit (IHC0436H)  
订购热线:400-901-9800
订购邮箱:sales@bioss.com.cn
订购QQ:  400-901-9800
技术支持:techsupport@bioss.com.cn
50T/3200.00元
大包装/询价

产品编号 IHC0436H
英文名称 Human TRAP1/HSP75 Ready-To-Use IHC Kit
中文名称 人热休克蛋白75即用型免疫组化试剂盒
别    名 HSP 75; HSP75; HSP90L; HSPC5; TRAP-1; TRAP1  
克 隆 号
适用样品基质 FFPE tissue
保存条件 Please store components at the temperatures indicated on the individual tube labels. The kit is stable for 6 months from the date of receipt.
产品介绍 The 90 kDa heat shock protein (hsp90) family of molecular chaperones is a highly conserved family of proteins that play an important physiological role. Hsp90 is involved in numerous cellular processes but is best known for its association with signal transduction machinery. A recently cloned homolog of hsp90 is the tumor necrosis factor receptor-associated protein (TRAP1). Like hsp90, TRAP1 is found to be associated with numerous proteins involved in diverse actions. Immunofluorescence data has shown TRAP1 to be localized in the mitochondria of mammalian cells. This observation and the fact that TRAP1 is shown to have a mitochondrial targeting presequence strongly implicates TRAP1 as a mitochondrial matrix protein.

SWISS:
Q12931

Gene ID:
10131

产品图片
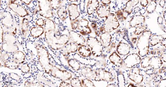
Immunohistochemical analysis of paraffin embedded human kidney tissue slide using IHC0436H (Human TRAP1/HSP75 IHC Kit).
Immunohistochemical analysis of paraffin embedded human colon cancer tissue slide using IHC0436H (Human TRAP1/HSP75 IHC Kit).
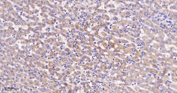
Immunohistochemical analysis of paraffin embedded human liver tissue slide using IHC0436H (Human TRAP1/HSP75 IHC Kit).
版权所有 2004-2026 www.bioss.com.cn 北京博奥森生物技术有限公司
通过国际质量管理体系ISO 9001:2015 GB/T 19001-2016    证书编号: 00124Q34771R2M/1100
通过国际医疗器械-质量管理体系ISO 13485:2016 GB/T 42061-2022     证书编号: CQC24QY20047R0M/1100
京ICP备05066980号-1         京公网安备110107000727号