扫码关注公众号           扫码咨询技术支持           扫码咨询技术服务
  
客服热线:400-901-9800  客服QQ:4009019800  技术答疑  技术支持  质量反馈  人才招聘  关于我们  联系我们
产品中心-北京博奥森生物技术有限公司
首页 > 产品中心 > 试剂盒 > 产品信息
Mouse Transglutaminase 2 Ready-To-Use IHC Kit (IHC0437M)  
订购热线:400-901-9800
订购邮箱:sales@bioss.com.cn
订购QQ:  400-901-9800
技术支持:techsupport@bioss.com.cn
50T/3200.00元
大包装/询价

产品编号 IHC0437M
英文名称 Mouse Transglutaminase 2 Ready-To-Use IHC Kit
中文名称 小鼠谷氨酰胺转胺酶2即用型免疫组化试剂盒
别    名 TG 2; TG(C); TG2; TGase C; TGase H; TGase-2; TGase2; TgaseII; ALPHA SUBUNIT; C polypeptide; G alpha h; G protein alpha subunit Gh class; G[a]h; Gh CLASS G ALPHA h; GNAH; GNAH G PROTEIN; Guanine nucleotide binding protein H polypeptide; H POLYPEPTIDE; Protein glutamine gamma glutamyltransferase 2; Protein glutamine gamma glutamyltransferase; Protein-glutamine gamma-glutamyltransferase 2; TGC; TGC GUANINE NUCLEOTIDE BINDING PROTEIN; TGM 2; TGM2; TGM2_HUMAN; Tissue transglutaminase; Tissue type transglutaminase; Transglutaminase 2; Transglutaminase 2 C polypeptide; Transglutaminase C; Transglutaminase H; Transglutaminase-2; tTG; tTGas  
克 隆 号
适用样品基质 FFPE tissue
保存条件 Please store components at the temperatures indicated on the individual tube labels. The kit is stable for 6 months from the date of receipt.
产品介绍 Transglutaminase (TGase) catalyses the crosslink of proteins by forming e-(g-glutamyl) lysine isopeptide bonds and requires the binding of Ca2+ for its activity. In mammals, eight distinct TGase isoenzymes have been identified. Tissue transglutaminase (tTGase), also known as TGase 2, has four distinct domains: N-terminal b-sandwich, catalytic core and two C-terminal b-barrel domains. tTGase may have a role in cell death, cell proliferation, cell differentiation, and receptor-mediated endocytosis. In the Alzheimer's disease brain, the elevated tTGase activity is manifested by polymerization of a number of proteins, including Ab peptide, b-amyloid precursor protein and the tau protein, with formation of neurofibrillary tangles.

SWISS:
P21980

Gene ID:
7052

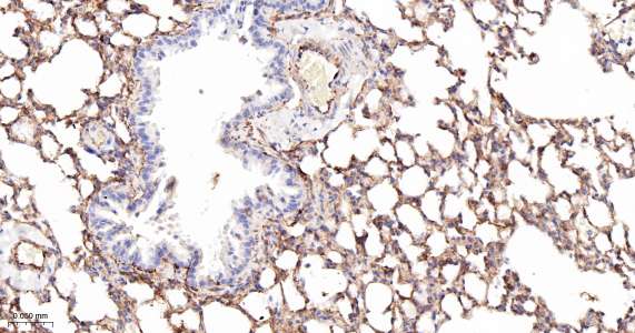
产品图片
Immunohistochemical analysis of paraffin embedded mouse lung tissue slide using IHC0437M (Mouse Transglutaminase 2 IHC Kit).
版权所有 2004-2026 www.bioss.com.cn 北京博奥森生物技术有限公司
通过国际质量管理体系ISO 9001:2015 GB/T 19001-2016    证书编号: 00124Q34771R2M/1100
通过国际医疗器械-质量管理体系ISO 13485:2016 GB/T 42061-2022     证书编号: CQC24QY20047R0M/1100
京ICP备05066980号-1         京公网安备110107000727号