扫码关注公众号           扫码咨询技术支持           扫码咨询技术服务
  
客服热线:400-901-9800  客服QQ:4009019800  技术答疑  技术支持  质量反馈  人才招聘  关于我们  联系我们
产品中心-北京博奥森生物技术有限公司
首页 > 产品中心 > 试剂盒 > 产品信息
Acetyl CoA carboxylase Ready-To-Use IHC Kit (IHC0441)  
订购热线:400-901-9800
订购邮箱:sales@bioss.com.cn
订购QQ:  400-901-9800
技术支持:techsupport@bioss.com.cn
50T/3200.00元
大包装/询价

产品编号 IHC0441
英文名称 Acetyl CoA carboxylase Ready-To-Use IHC Kit
中文名称 乙酰辅酶A羧化酶即用型免疫组化试剂盒
别    名 A530025K05Rik; ACACAD; Gm738; I79_006999; ACAC; ACACA; ACACA_HUMAN; ACC alpha; ACC 1; ACC-alpha; ACC1; ACCA; Acetyl CoA carboxylase 1; Acetyl CoA carboxylase alpha; Acetyl Coenzyme A carboxylase alpha; Biotin carboxylase; COA1; HACC275 antibody  
克 隆 号
适用样品基质 FFPE tissue
保存条件 Please store components at the temperatures indicated on the individual tube labels. The kit is stable for 6 months from the date of receipt.
产品介绍 Acetyl-CoA carboxylase (ACC) is a complex multifunctional enzyme system. ACC is a biotin-containing enzyme which catalyzes the carboxylation of acetyl-CoA to malonyl-CoA, the rate-limiting step in fatty acid synthesis. There are two ACC forms, alpha and beta, encoded by two different genes. ACC-alpha is highly enriched in lipogenic tissues. The enzyme is under long term control at the transcriptional and translational levels and under short term regulation by the phosphorylation/dephosphorylation of targeted serine residues and by allosteric transformation by citrate or palmitoyl-CoA. Multiple alternatively spliced transcript variants divergent in the 5' sequence and encoding distinct isoforms have been found for this gene.

SWISS:
Q13085

Gene ID:
31

产品图片
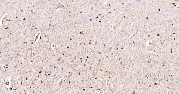
Immunohistochemical analysis of paraffin embedded mouse brain tissue slide using IHC0441 (Acetyl CoA carboxylase IHC Kit).
Immunohistochemical analysis of paraffin embedded human brain tissue slide using IHC0441 (Acetyl CoA carboxylase IHC Kit).
Immunohistochemical analysis of paraffin embedded rat brain tissue slide using IHC0441 (Acetyl CoA carboxylase IHC Kit).
版权所有 2004-2026 www.bioss.com.cn 北京博奥森生物技术有限公司
通过国际质量管理体系ISO 9001:2015 GB/T 19001-2016    证书编号: 00124Q34771R2M/1100
通过国际医疗器械-质量管理体系ISO 13485:2016 GB/T 42061-2022     证书编号: CQC24QY20047R0M/1100
京ICP备05066980号-1         京公网安备110107000727号