扫码关注公众号           扫码咨询技术支持           扫码咨询技术服务
  
客服热线:400-901-9800  客服QQ:4009019800  技术答疑  技术支持  质量反馈  人才招聘  关于我们  联系我们
产品中心-北京博奥森生物技术有限公司
首页 > 产品中心 > 试剂盒 > 产品信息
Mouse Acetyl CoA carboxylase Ready-To-Use IHC Kit (IHC0441M)  
订购热线:400-901-9800
订购邮箱:sales@bioss.com.cn
订购QQ:  400-901-9800
技术支持:techsupport@bioss.com.cn
50T/3200.00元
大包装/询价

产品编号 IHC0441M
英文名称 Mouse Acetyl CoA carboxylase Ready-To-Use IHC Kit
中文名称 小鼠乙酰辅酶A羧化酶即用型免疫组化试剂盒
别    名 A530025K05Rik; ACACAD; Gm738; I79_006999; ACAC; ACACA; ACACA_HUMAN; ACC alpha; ACC 1; ACC-alpha; ACC1; ACCA; Acetyl CoA carboxylase 1; Acetyl CoA carboxylase alpha; Acetyl Coenzyme A carboxylase alpha; Biotin carboxylase; COA1; HACC275 antibody  
克 隆 号
适用样品基质 FFPE tissue
保存条件 Please store components at the temperatures indicated on the individual tube labels. The kit is stable for 6 months from the date of receipt.
产品介绍 Acetyl-CoA carboxylase (ACC) is a complex multifunctional enzyme system. ACC is a biotin-containing enzyme which catalyzes the carboxylation of acetyl-CoA to malonyl-CoA, the rate-limiting step in fatty acid synthesis. There are two ACC forms, alpha and beta, encoded by two different genes. ACC-alpha is highly enriched in lipogenic tissues. The enzyme is under long term control at the transcriptional and translational levels and under short term regulation by the phosphorylation/dephosphorylation of targeted serine residues and by allosteric transformation by citrate or palmitoyl-CoA. Multiple alternatively spliced transcript variants divergent in the 5' sequence and encoding distinct isoforms have been found for this gene.

SWISS:
Q13085

Gene ID:
31

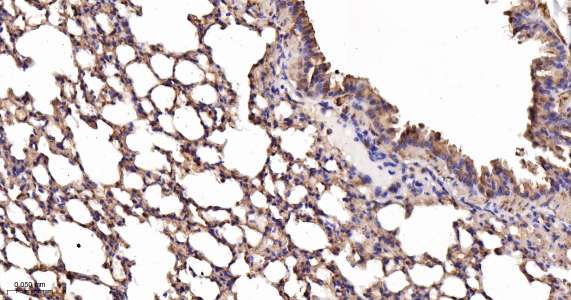
产品图片
Immunohistochemical analysis of paraffin embedded mouse lung tissue slide using IHC0441M (Mouse Acetyl CoA carboxylase IHC Kit).
版权所有 2004-2026 www.bioss.com.cn 北京博奥森生物技术有限公司
通过国际质量管理体系ISO 9001:2015 GB/T 19001-2016    证书编号: 00124Q34771R2M/1100
通过国际医疗器械-质量管理体系ISO 13485:2016 GB/T 42061-2022     证书编号: CQC24QY20047R0M/1100
京ICP备05066980号-1         京公网安备110107000727号