扫码关注公众号           扫码咨询技术支持           扫码咨询技术服务
  
客服热线:400-901-9800  客服QQ:4009019800  技术答疑  技术支持  质量反馈  人才招聘  关于我们  联系我们
产品中心-北京博奥森生物技术有限公司
首页 > 产品中心 > 试剂盒 > 产品信息
PON1 Ready-To-Use IHC Kit (IHC0442)  
订购热线:400-901-9800
订购邮箱:sales@bioss.com.cn
订购QQ:  400-901-9800
技术支持:techsupport@bioss.com.cn
50T/3200.00元
大包装/询价

产品编号 IHC0442
英文名称 PON1 Ready-To-Use IHC Kit
中文名称 芳香酯酶1(对氧磷酶)即用型免疫组化试剂盒
别    名 PON1; A esterase 1; A-esterase 1; Aromatic esterase 1; Arylesterase B type; ESA; Esterase A; K 45; K-45; MVCD5; Paraoxonase 1; Paraoxonase; Paraoxonase B type; Paraoxonase1; PON 1; PON; PON-1; PON1_HUMAN; Serum aryldiakylphosphatase; Serum aryldialkylphosphatase 1; Serum paraoxonase/arylesterase 1  
克 隆 号
适用样品基质 FFPE tissue
保存条件 Please store components at the temperatures indicated on the individual tube labels. The kit is stable for 6 months from the date of receipt.
产品介绍 The paraoxonase (PON) gene-family in humans has three members, PON1, PON2, and PON3, aligned next to each other on the long arm of chromosome 7q21.3-22.1. PON1 of these is synthesized primarily in the liver and a portion is secreted into the plasma, where it is associated with high density lipoproteins (HDL). And It hydrolyzes the active metabolites of several other organophosphorus insecticides (e.g., chlorpyrifos oxon, diazoxon), as well as nerve agents such as sarin, soman and VX (lethal nerve agent). The PON1 polymorphism may be responsible for neurodegeneration and considered to be an independent risk factor for Parkinson's disease.

SWISS:
P27169

Gene ID:
5444

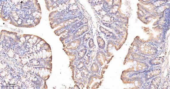
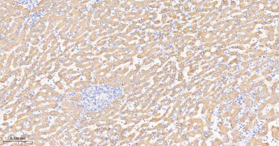
产品图片
Immunohistochemical analysis of paraffin embedded mouse liver tissue slide using IHC0442 (PON1 IHC Kit).
Immunohistochemical analysis of paraffin embedded human liver tissue slide using IHC0442 (PON1 IHC Kit).
Immunohistochemical analysis of paraffin embedded rat colon tissue slide using IHC0442 (PON1 IHC Kit).
版权所有 2004-2026 www.bioss.com.cn 北京博奥森生物技术有限公司
通过国际质量管理体系ISO 9001:2015 GB/T 19001-2016    证书编号: 00124Q34771R2M/1100
通过国际医疗器械-质量管理体系ISO 13485:2016 GB/T 42061-2022     证书编号: CQC24QY20047R0M/1100
京ICP备05066980号-1         京公网安备110107000727号