扫码关注公众号           扫码咨询技术支持           扫码咨询技术服务
  
客服热线:400-901-9800  客服QQ:4009019800  技术答疑  技术支持  质量反馈  人才招聘  关于我们  联系我们
产品中心-北京博奥森生物技术有限公司
首页 > 产品中心 > 试剂盒 > 产品信息
Human MtTF1 Ready-To-Use IHC Kit (IHC0443H)  
订购热线:400-901-9800
订购邮箱:sales@bioss.com.cn
订购QQ:  400-901-9800
技术支持:techsupport@bioss.com.cn
50T/3200.00元
大包装/询价

产品编号 IHC0443H
英文名称 Human MtTF1 Ready-To-Use IHC Kit
中文名称 人线粒体转录因子1即用型免疫组化试剂盒
别    名 AI661103; Hmgts; MTTF1; MTTFA; TCF6; TCF6L1; TCF6L2; TCF6L3; TFAM; tsHMG; MTDPS15  
克 隆 号
适用样品基质 FFPE tissue
保存条件 Please store components at the temperatures indicated on the individual tube labels. The kit is stable for 6 months from the date of receipt.
产品介绍 Mitochondrial transcription factor A (TFAM) is a crucial protein encoded by nuclear genes, but it is transported from the cytoplasm to mitochondria where it plays a key role in the maintenance and expression of mitochondrial DNA (mtDNA). It regulates the replication and transcription of mtDNA, ensuring the proper functioning of mitochondrial processes. Structurally, TFAM contains a molecular region known as the LC3 interacting region (LIR) motif, which allows it to bind to autophagy proteins such as LC3. This interaction is essential for the autolysosomal pathway, helping to eliminate leaked mtDNA and limit inflammation. TFAM levels vary across tissues, with notable effects on mitochondrial function; high levels can repress mtDNA expression in certain tissues, such as skeletal muscle, and contribute to deficiencies in oxidative phosphorylation (OXPHOS). Conversely, in other tissues like the heart, increased mtDNA copy number maintains a balanced TFAM-to-mtDNA ratio, preserving OXPHOS capacity. TFAM is integral to the packaging, stability, and replication of the mitochondrial genome, and disruptions in TFAM can have severe effects, including implications in neurodegeneration and other diseases related to mtDNA stress.

SWISS:
Q00059

Gene ID:
7019

产品图片
Immunohistochemical analysis of paraffin embedded human esophagus tissue slide using IHC0443H (Human MtTF1 IHC Kit).
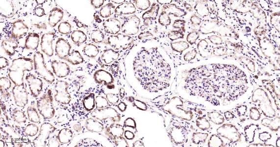
Immunohistochemical analysis of paraffin embedded human kidney tissue slide using IHC0443H (Human MtTF1 IHC Kit).
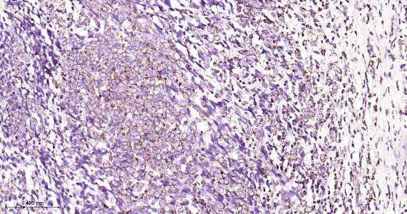
Immunohistochemical analysis of paraffin embedded human thyroid carcinoma tissue slide using IHC0443H (Human MtTF1 IHC Kit).
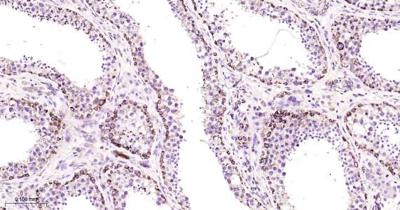
Immunohistochemical analysis of paraffin embedded human testis tissue slide using IHC0443H (Human MtTF1 IHC Kit).
Immunohistochemical analysis of paraffin embedded human lung cancer tissue slide using IHC0443H (Human MtTF1 IHC Kit).
版权所有 2004-2026 www.bioss.com.cn 北京博奥森生物技术有限公司
通过国际质量管理体系ISO 9001:2015 GB/T 19001-2016    证书编号: 00124Q34771R2M/1100
通过国际医疗器械-质量管理体系ISO 13485:2016 GB/T 42061-2022     证书编号: CQC24QY20047R0M/1100
京ICP备05066980号-1         京公网安备110107000727号