扫码关注公众号           扫码咨询技术支持           扫码咨询技术服务
  
客服热线:400-901-9800  客服QQ:4009019800  技术答疑  技术支持  质量反馈  人才招聘  关于我们  联系我们
产品中心-北京博奥森生物技术有限公司
首页 > 产品中心 > 试剂盒 > 产品信息
Rat RPS20 Ready-To-Use IHC Kit (IHC0447R)  
订购热线:400-901-9800
订购邮箱:sales@bioss.com.cn
订购QQ:  400-901-9800
技术支持:techsupport@bioss.com.cn
50T/3200.00元
大包装/询价

产品编号 IHC0447R
英文名称 Rat RPS20 Ready-To-Use IHC Kit
中文名称 大鼠40S核糖体蛋白S20即用型免疫组化试剂盒
别    名 RPS20; S20; ribosomal protein S20; 4632426K06Rik; Dsk4  
克 隆 号
适用样品基质 FFPE tissue
保存条件 Please store components at the temperatures indicated on the individual tube labels. The kit is stable for 6 months from the date of receipt.
产品介绍 Mammalian ribosomal proteins are encoded by multigene families that consist of processed pseudogenes and one functional intron-containing gene within their coding regions. Ribosomal Protein S20, also known as RPS20, is a 119 amino acid cytoplasmic protein that is a component of the 40S ribosomal subunit. Co-transcribed with the small nucleolar RNA gene U54, Ribosomal Protein S20 is a primary binding protein (it binds independently to its target protein) that interacts with both the 5' and 3' minor domains of 16S ribosomal RNA (rRNA). Through its interactions with 16S rRNA, Ribosomal Protein S20 is thought to play a key role in nucleating the assembly of the 30S ribosomal subunit. Like most ribosomal protein-coding genes, the gene encoding Ribosomal Protein S20 is dispersed throughout the genome and exists as multiple processed pseudogenes.

SWISS:
P60866

Gene ID:
6224

产品图片
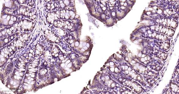
Immunohistochemical analysis of paraffin embedded rat colon tissue slide using IHC0447R (Rat RPS20 IHC Kit).
版权所有 2004-2026 www.bioss.com.cn 北京博奥森生物技术有限公司
通过国际质量管理体系ISO 9001:2015 GB/T 19001-2016    证书编号: 00124Q34771R2M/1100
通过国际医疗器械-质量管理体系ISO 13485:2016 GB/T 42061-2022     证书编号: CQC24QY20047R0M/1100
京ICP备05066980号-1         京公网安备110107000727号