扫码关注公众号           扫码咨询技术支持           扫码咨询技术服务
  
客服热线:400-901-9800  客服QQ:4009019800  技术答疑  技术支持  质量反馈  人才招聘  关于我们  联系我们
产品中心-北京博奥森生物技术有限公司
首页 > 产品中心 > 试剂盒 > 产品信息
PSMA2 Ready-To-Use IHC Kit (IHC0448)  
订购热线:400-901-9800
订购邮箱:sales@bioss.com.cn
订购QQ:  400-901-9800
技术支持:techsupport@bioss.com.cn
50T/3200.00元
大包装/询价

产品编号 IHC0448
英文名称 PSMA2 Ready-To-Use IHC Kit
中文名称 蛋白酶体PSMα2即用型免疫组化试剂盒
别    名 Lmpc3; MU; PSMA2; 20S Proteasome α2; HC3; Macropain subunit C3; MU antibody Multicatalytic endopeptidase complex subunit C3; PMSA2; Proteasome (prosome macropain) subunit alpha type 2; Proteasome alpha 2 subunit; Proteasome component C3; Proteasome subunit alpha type 2; Proteasome subunit alpha type-2; Proteasome subunit HC3; PSC2; PSC3; PSMA 2; psmA2; PSA2_HUMAN  
克 隆 号
适用样品基质 FFPE tissue
保存条件 Please store components at the temperatures indicated on the individual tube labels. The kit is stable for 6 months from the date of receipt.
产品介绍 The proteasome is a multicatalytic proteinase complex with a highly ordered ring-shaped 20S core structure. The core structure is composed of 4 rings of 28 non-identical subunits; 2 rings are composed of 7 alpha subunits and 2 rings are composed of 7 beta subunits. Proteasomes are distributed throughout eukaryotic cells at a high concentration and cleave peptides in an ATP/ubiquitin-dependent process in a non-lysosomal pathway. An essential function of a modified proteasome, the immunoproteasome, is the processing of class I MHC peptides. This gene encodes a member of the peptidase T1A family, that is a 20S core alpha subunit.

SWISS:
P25787

Gene ID:
5683

产品图片
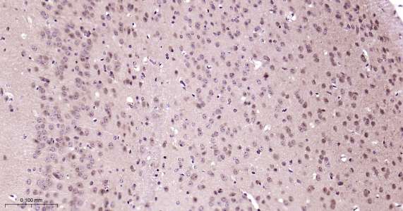
Immunohistochemical analysis of paraffin embedded mouse brain tissue slide using IHC0448 (PSMA2 IHC Kit).
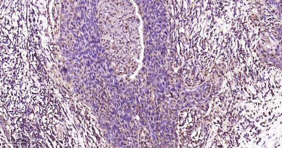
Immunohistochemical analysis of paraffin embedded human cervical cancer tissue slide using IHC0448 (PSMA2 IHC Kit).
Immunohistochemical analysis of paraffin embedded rat brain tissue slide using IHC0448 (PSMA2 IHC Kit).
版权所有 2004-2026 www.bioss.com.cn 北京博奥森生物技术有限公司
通过国际质量管理体系ISO 9001:2015 GB/T 19001-2016    证书编号: 00124Q34771R2M/1100
通过国际医疗器械-质量管理体系ISO 13485:2016 GB/T 42061-2022     证书编号: CQC24QY20047R0M/1100
京ICP备05066980号-1         京公网安备110107000727号