扫码关注公众号           扫码咨询技术支持           扫码咨询技术服务
  
客服热线:400-901-9800  客服QQ:4009019800  技术答疑  技术支持  质量反馈  人才招聘  关于我们  联系我们
产品中心-北京博奥森生物技术有限公司
首页 > 产品中心 > 试剂盒 > 产品信息
Mouse PSMA2 Ready-To-Use IHC Kit (IHC0448M)  
订购热线:400-901-9800
订购邮箱:sales@bioss.com.cn
订购QQ:  400-901-9800
技术支持:techsupport@bioss.com.cn
50T/3200.00元
大包装/询价

产品编号 IHC0448M
英文名称 Mouse PSMA2 Ready-To-Use IHC Kit
中文名称 小鼠蛋白酶体PSMα2即用型免疫组化试剂盒
别    名 Lmpc3; MU; PSMA2; 20S Proteasome α2; HC3; Macropain subunit C3; MU antibody Multicatalytic endopeptidase complex subunit C3; PMSA2; Proteasome (prosome macropain) subunit alpha type 2; Proteasome alpha 2 subunit; Proteasome component C3; Proteasome subunit alpha type 2; Proteasome subunit alpha type-2; Proteasome subunit HC3; PSC2; PSC3; PSMA 2; psmA2; PSA2_HUMAN  
克 隆 号
适用样品基质 FFPE tissue
保存条件 Please store components at the temperatures indicated on the individual tube labels. The kit is stable for 6 months from the date of receipt.
产品介绍 The proteasome is a multicatalytic proteinase complex with a highly ordered ring-shaped 20S core structure. The core structure is composed of 4 rings of 28 non-identical subunits; 2 rings are composed of 7 alpha subunits and 2 rings are composed of 7 beta subunits. Proteasomes are distributed throughout eukaryotic cells at a high concentration and cleave peptides in an ATP/ubiquitin-dependent process in a non-lysosomal pathway. An essential function of a modified proteasome, the immunoproteasome, is the processing of class I MHC peptides. This gene encodes a member of the peptidase T1A family, that is a 20S core alpha subunit.

SWISS:
P25787

Gene ID:
5683

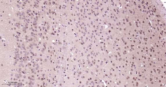
产品图片
Immunohistochemical analysis of paraffin embedded mouse brain tissue slide using IHC0448M (Mouse PSMA2 IHC Kit).
版权所有 2004-2026 www.bioss.com.cn 北京博奥森生物技术有限公司
通过国际质量管理体系ISO 9001:2015 GB/T 19001-2016    证书编号: 00124Q34771R2M/1100
通过国际医疗器械-质量管理体系ISO 13485:2016 GB/T 42061-2022     证书编号: CQC24QY20047R0M/1100
京ICP备05066980号-1         京公网安备110107000727号