扫码关注公众号           扫码咨询技术支持           扫码咨询技术服务
  
客服热线:400-901-9800  客服QQ:4009019800  技术答疑  技术支持  质量反馈  人才招聘  关于我们  联系我们
产品中心-北京博奥森生物技术有限公司
首页 > 产品中心 > 试剂盒 > 产品信息
Mouse PSMD4 Ready-To-Use IHC Kit (IHC0449M)  
订购热线:400-901-9800
订购邮箱:sales@bioss.com.cn
订购QQ:  400-901-9800
技术支持:techsupport@bioss.com.cn
50T/3200.00元
大包装/询价

产品编号 IHC0449M
英文名称 Mouse PSMD4 Ready-To-Use IHC Kit
中文名称 小鼠26S蛋白酶调节亚型S5a即用型免疫组化试剂盒
别    名 AF; AF-1; Af1; angiocidin; ASF; MCB1; PSMD4; pUB-R5; Rpn10; S5A  
克 隆 号
适用样品基质 FFPE tissue
保存条件 Please store components at the temperatures indicated on the individual tube labels. The kit is stable for 6 months from the date of receipt.
产品介绍 This gene encodes a subunit of the elongation factor-1 complex, which is responsible for the enzymatic delivery of aminoacyl tRNAs to the ribosome. This subunit functions as guanine nucleotide exchange factor. It is reported that this subunit interacts with HIV-1 Tat, and thus it represses the translation of host-cell, but not HIV-1, mRNAs. Several alternatively spliced transcript variants encoding multiple isoforms have been found for this gene.

SWISS:
P55036

Gene ID:
5710

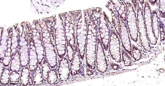
产品图片
Immunohistochemical analysis of paraffin embedded mouse colon tissue slide using IHC0449M (Mouse PSMD4 IHC Kit).
版权所有 2004-2026 www.bioss.com.cn 北京博奥森生物技术有限公司
通过国际质量管理体系ISO 9001:2015 GB/T 19001-2016    证书编号: 00124Q34771R2M/1100
通过国际医疗器械-质量管理体系ISO 13485:2016 GB/T 42061-2022     证书编号: CQC24QY20047R0M/1100
京ICP备05066980号-1         京公网安备110107000727号