扫码关注公众号           扫码咨询技术支持           扫码咨询技术服务
  
客服热线:400-901-9800  客服QQ:4009019800  技术答疑  技术支持  质量反馈  人才招聘  关于我们  联系我们
产品中心-北京博奥森生物技术有限公司
首页 > 产品中心 > 试剂盒 > 产品信息
Human Tyrosine Hydroxylase Ready-To-Use IHC Kit (IHC0450H)  
订购热线:400-901-9800
订购邮箱:sales@bioss.com.cn
订购QQ:  400-901-9800
技术支持:techsupport@bioss.com.cn
50T/3200.00元
大包装/询价

产品编号 IHC0450H
英文名称 Human Tyrosine Hydroxylase Ready-To-Use IHC Kit
中文名称 人酪氨酸羟化酶即用型免疫组化试剂盒
别    名 Tyrosine Hydroxylase; DYT14; DYT5b; ple; Protein Pale; c; The; TYH; Tyrosine 3 hydroxylase; Tyrosine 3 monooxygenase; Tyk2; TY3H_HUMAN; Tyrosine 3-monooxygenase; Tyrosine 3-hydroxylase; TH  
克 隆 号
适用样品基质 FFPE tissue
保存条件 Please store components at the temperatures indicated on the individual tube labels. The kit is stable for 6 months from the date of receipt.
产品介绍 Tyrosine hydroxylase (TH) is an enzyme involved in the synthesis of catecholamine neurotransmitters dopamine, epinephrine, and norepinephrine. In all species, catecholamine synthesis is regulated by the interaction of TH with a cofactor, tetrahydrobiopterin (BH4). BH4 binds to the TH catalytic domain, resulting in enzymatic activity. Unlike TH in non-primate species, four human TH mRNA splice variants (hTH1-hTH4) have been isolated. These variants are identical in their catalytic domain, but differ in their N-terminal, regulatory domains. TH is also responsible for the conversion of L-tyrosine to L-dopa. TH plays a key role in the physiology of adrenergic neurons. The role of TH in the synthesis of catecholamine neurotransmitters suggests a correlation between the enzyme and a number of neuropathogenic diseases including: Parkinson's disease, schizophrenia, Segawa syndrome, and dystonia, as well as a variety of cardiovascular diseases.

SWISS:
P07101

Gene ID:
7054

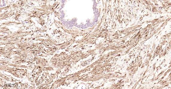
产品图片
Immunohistochemical analysis of paraffin embedded human prostate cancer tissue slide using IHC0450H (Human Tyrosine Hydroxylase IHC Kit).
版权所有 2004-2026 www.bioss.com.cn 北京博奥森生物技术有限公司
通过国际质量管理体系ISO 9001:2015 GB/T 19001-2016    证书编号: 00124Q34771R2M/1100
通过国际医疗器械-质量管理体系ISO 13485:2016 GB/T 42061-2022     证书编号: CQC24QY20047R0M/1100
京ICP备05066980号-1         京公网安备110107000727号