扫码关注公众号           扫码咨询技术支持           扫码咨询技术服务
  
客服热线:400-901-9800  客服QQ:4009019800  技术答疑  技术支持  质量反馈  人才招聘  关于我们  联系我们
产品中心-北京博奥森生物技术有限公司
首页 > 产品中心 > 试剂盒 > 产品信息
COMT Ready-To-Use IHC Kit (IHC0451)  
订购热线:400-901-9800
订购邮箱:sales@bioss.com.cn
订购QQ:  400-901-9800
技术支持:techsupport@bioss.com.cn
50T/3200.00元
大包装/询价

产品编号 IHC0451
英文名称 COMT Ready-To-Use IHC Kit
中文名称 儿茶酚O甲基移位酶即用型免疫组化试剂盒
别    名 Comt1; D16Wsu103e; D330014B15Rik; HEL-S-98n; Catechol O methyltransferase; Catechol O-methyltransferase; COMT; COMT_HUMAN; EC 2.1.1.6  
克 隆 号
适用样品基质 FFPE tissue
保存条件 Please store components at the temperatures indicated on the individual tube labels. The kit is stable for 6 months from the date of receipt.
产品介绍 Catechol-O-methyltransferase catalyzes the transfer of a methyl group from S-adenosylmethionine to catecholamines, including the neurotransmitters dopamine, epinephrine, and norepinephrine. This O-methylation results in one of the major degradative pathways of the catecholamine transmitters. In addition to its role in the metabolism of endogenous substances, COMT is important in the metabolism of catechol drugs used in the treatment of hypertension, asthma, and Parkinson disease. COMT is found in two forms in tissues, a soluble form (S-COMT) and a membrane-bound form (MB-COMT). The differences between S-COMT and MB-COMT reside within the N-termini. Several transcript variants are formed through the use of alternative translation initiation sites and promoters.

SWISS:
P21964

Gene ID:
1312

产品图片
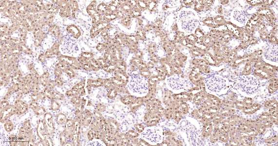
Immunohistochemical analysis of paraffin embedded human kidney tissue slide using IHC0451 (COMT IHC Kit).
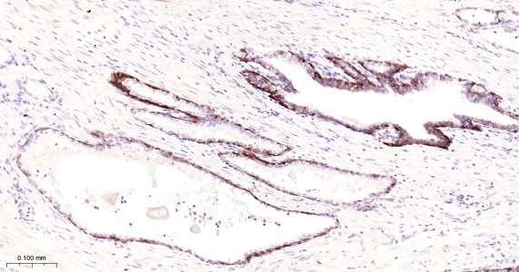
Immunohistochemical analysis of paraffin embedded human prostate tissue slide using IHC0451 (COMT IHC Kit).
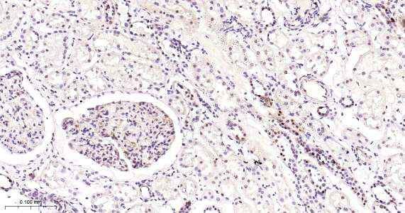
Immunohistochemical analysis of paraffin embedded rat kidney tissue slide using IHC0451 (COMT IHC Kit).
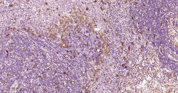
Immunohistochemical analysis of paraffin embedded rat spleen tissue slide using IHC0451 (COMT IHC Kit).
版权所有 2004-2026 www.bioss.com.cn 北京博奥森生物技术有限公司
通过国际质量管理体系ISO 9001:2015 GB/T 19001-2016    证书编号: 00124Q34771R2M/1100
通过国际医疗器械-质量管理体系ISO 13485:2016 GB/T 42061-2022     证书编号: CQC24QY20047R0M/1100
京ICP备05066980号-1         京公网安备110107000727号