扫码关注公众号           扫码咨询技术支持           扫码咨询技术服务
  
客服热线:400-901-9800  客服QQ:4009019800  技术答疑  技术支持  质量反馈  人才招聘  关于我们  联系我们
产品中心-北京博奥森生物技术有限公司
首页 > 产品中心 > 试剂盒 > 产品信息
Huntingtin Ready-To-Use IHC Kit (IHC0452)  
订购热线:400-901-9800
订购邮箱:sales@bioss.com.cn
订购QQ:  400-901-9800
技术支持:techsupport@bioss.com.cn
50T/3200.00元
大包装/询价

产品编号 IHC0452
英文名称 Huntingtin Ready-To-Use IHC Kit
中文名称 神经性舞蹈病蛋白即用型免疫组化试剂盒
别    名 AI256365; C430023I11Rik; HD; Hdh; HD protein; HD_HUMAN; HDH; HTT; Huntingtin; HUNTINGTON CHOREA; Huntington disease protein; Huntington's disease protein homolog; IT 15; IT15; OTTMUSP00000026909; ZHD  
克 隆 号
适用样品基质 FFPE tissue
保存条件 Please store components at the temperatures indicated on the individual tube labels. The kit is stable for 6 months from the date of receipt.
产品介绍 Huntingtin is a disease gene linked to Huntington's disease (HD), a neurodegenerative disorder characterized by loss of striatal neurons. This is thought to be caused by an expanded, unstable trinucleotide repeat in the huntingtin gene, which translates as a polyglutamine repeat in the protein product. HD is a mid-life onset autosomal dominant neurodegenerative disease that is characterized by psychiatric disorders, dementia, and involuntary movements (chorea), leading to death in 10-20 years.The huntingtin locus is large, spanning 180 kb and consisting of 67 exons. The huntingtin gene is widely expressed and is required for normal development. It is expressed as 2 alternatively polyadenylated forms displaying different relative abundance in various fetal and adult tissues. The larger transcript is approximately 13.7 kb and is expressed predominantly in adult and fetal brain whereas the smaller transcript of approximately 10.3 kb is more widely expressed. The genetic defect leading to Huntington's disease may not necessarily eliminate transcription, but may confer a new property on the mRNA or alter the function of the protein.

SWISS:
P42858

Gene ID:
3064

产品图片
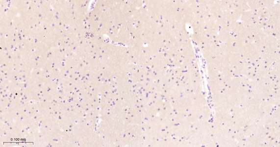
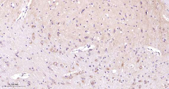
Immunohistochemical analysis of paraffin embedded mouse brain tissue slide using IHC0452 (Huntingtin IHC Kit).
Immunohistochemical analysis of paraffin embedded human brain tissue slide using IHC0452 (Huntingtin IHC Kit).
Immunohistochemical analysis of paraffin embedded rat brain tissue slide using IHC0452 (Huntingtin IHC Kit).
版权所有 2004-2026 www.bioss.com.cn 北京博奥森生物技术有限公司
通过国际质量管理体系ISO 9001:2015 GB/T 19001-2016    证书编号: 00124Q34771R2M/1100
通过国际医疗器械-质量管理体系ISO 13485:2016 GB/T 42061-2022     证书编号: CQC24QY20047R0M/1100
京ICP备05066980号-1         京公网安备110107000727号