扫码关注公众号           扫码咨询技术支持           扫码咨询技术服务
  
客服热线:400-901-9800  客服QQ:4009019800  技术答疑  技术支持  质量反馈  人才招聘  关于我们  联系我们
产品中心-北京博奥森生物技术有限公司
首页 > 产品中心 > 试剂盒 > 产品信息
HSP70 Ready-To-Use IHC Kit (IHC0453)  
订购热线:400-901-9800
订购邮箱:sales@bioss.com.cn
订购QQ:  400-901-9800
技术支持:techsupport@bioss.com.cn
50T/3200.00元
大包装/询价

产品编号 IHC0453
英文名称 HSP70 Ready-To-Use IHC Kit
中文名称 热休克蛋白-70即用型免疫组化试剂盒
别    名 70kDa; 87A; AI317151; APG-2; APG2; Bb; CG18743; CG31359; CG31366; CG31449; CG6489; dHSP70; dhsp70Aa; Dm-hsp70; Dmel\CG31359; Dmel\CG31366; Dmel_CG31359; Dmel_CG31366; DmHSP70AA; DMHSP7D1; Hcp70.1; Hcp70.2; HEL-S-103; HEL-S-5a; HS24/P52; hs70; Hsc70t; HSP 70; Hsp-70; Hsp-70Aa; Hsp110; hsp68; HSP70; hsp70 87A; hsp70 87C; hsp70 Aa; hsp70(87A); Hsp70(87C); HSP70-1; HSP70-1A; HSP70-1B; HSP70-1L; HSP70-2; HSP70-3; HSP70-HOM; HSP70.1; HSP70.2; Hsp70.3; Hsp70A; Hsp70A1; HSP70A2; Hsp70A7d; Hsp70Aa; Hsp70Ab; Hsp70B; Hsp70Ba; Hsp70Bb; Hsp70Bbc; Hsp70Bc; HSP70I; Hsp70RY; HSP70T; HSP72; HSPA1; HSPA1A; HSPA1B; HSPA1L; HSPA2; HSPA4; HSPH2; Hspt70; Hst70; HSX70; hum70t; Irp94; mKIAA4025; Msh5; RY  
克 隆 号
适用样品基质 FFPE tissue
保存条件 Please store components at the temperatures indicated on the individual tube labels. The kit is stable for 6 months from the date of receipt.
产品介绍 HSP70 is a Heat shock protein (HSP) which are expressed in response to various biological stresses, including high temperatures. There are several major families of HSPs that include HSP70, there are HSP90 and HSP100. The HSP70 family is a set of highly conserved proteins that are induced by a variety of biological stresses, including heat stress, in every organism in which the proteins have been examined. The human HSP70 family members include: HSP70, a protein which is strongly inducible in all organisms but which is also constitutively expressed in primate cells; HSP72, a 72 kDa protein that is induced exclusively under stress conditions; HSC70, or cognate protein, is a 72 kDa, constitutively expressed, protein which is involved in the uncoating of clathrin coated vesicles; GRP78, or BiP, is a glucose regulated 78 kDa protein localized in the endoplasmic reticulum; and p75, or HSP75, a 75 kDa protein that is found within the mitochondria. Further, HSP70 is encoded by an intronless gene and, in conjunction with other heat shock proteins, HSP70 stabilizes existing proteins against aggregation and mediates the folding of newly translated proteins in the cytosol and organelles. HSP70 is also involved in the ubiquitin-proteasome pathway through interaction with the AU-rich element RNA-binding protein 1. The HSP70 gene is located in the major histocompatibility complex class III region, in a cluster with two closely related genes which encode similar proteins.

SWISS:
P0DMV9

Gene ID:
3304

产品图片
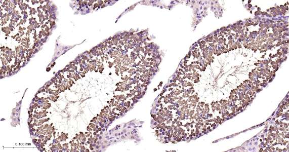
Immunohistochemical analysis of paraffin embedded mouse testis tissue slide using IHC0453 (HSP70 IHC Kit).
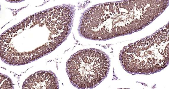
Immunohistochemical analysis of paraffin embedded human testis tissue slide using IHC0453 (HSP70 IHC Kit).
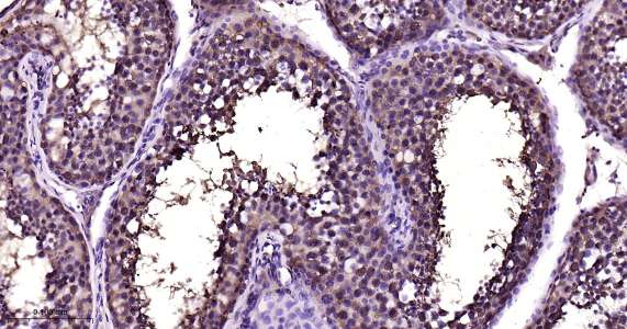
Immunohistochemical analysis of paraffin embedded rat testis tissue slide using IHC0453 (HSP70 IHC Kit).
版权所有 2004-2026 www.bioss.com.cn 北京博奥森生物技术有限公司
通过国际质量管理体系ISO 9001:2015 GB/T 19001-2016    证书编号: 00124Q34771R2M/1100
通过国际医疗器械-质量管理体系ISO 13485:2016 GB/T 42061-2022     证书编号: CQC24QY20047R0M/1100
京ICP备05066980号-1         京公网安备110107000727号