扫码关注公众号           扫码咨询技术支持           扫码咨询技术服务
  
客服热线:400-901-9800  客服QQ:4009019800  技术答疑  技术支持  质量反馈  人才招聘  关于我们  联系我们
产品中心-北京博奥森生物技术有限公司
首页 > 产品中心 > 试剂盒 > 产品信息
PP-1B Ready-To-Use IHC Kit (IHC0455)  
订购热线:400-901-9800
订购邮箱:sales@bioss.com.cn
订购QQ:  400-901-9800
技术支持:techsupport@bioss.com.cn
50T/3200.00元
大包装/询价

产品编号 IHC0455
英文名称 PP-1B Ready-To-Use IHC Kit
中文名称 蛋白磷酸酯酶-1B即用型免疫组化试剂盒
别    名 1200010B19; PPP1CB; PP-1B; HEL-S-80p; PP1B; PP1beta; PPP1CD; NSLH2; protein phosphatase 1 catalytic subunit beta  
克 隆 号
适用样品基质 FFPE tissue
保存条件 Please store components at the temperatures indicated on the individual tube labels. The kit is stable for 6 months from the date of receipt.
产品介绍 The protein encoded by this gene is one of the three catalytic subunits of protein phosphatase 1 (PP1). PP1 is a serine/threonine specific protein phosphatase known to be involved in the regulation of a variety of cellular processes, such as cell division, glycogen metabolism, muscle contractility, protein synthesis, and HIV-1 viral transcription. Mouse studies suggest that PP1 functions as a suppressor of learning and memory. Two alternatively spliced transcript variants encoding distinct isoforms have been observed.

SWISS:
P62140

Gene ID:
5500

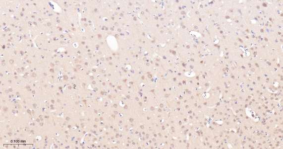
产品图片
Immunohistochemical analysis of paraffin embedded mouse brain tissue slide using IHC0455 (PP-1B IHC Kit).
Immunohistochemical analysis of paraffin embedded human brain tissue slide using IHC0455 (PP-1B IHC Kit).
Immunohistochemical analysis of paraffin embedded rat brain tissue slide using IHC0455 (PP-1B IHC Kit).
版权所有 2004-2026 www.bioss.com.cn 北京博奥森生物技术有限公司
通过国际质量管理体系ISO 9001:2015 GB/T 19001-2016    证书编号: 00124Q34771R2M/1100
通过国际医疗器械-质量管理体系ISO 13485:2016 GB/T 42061-2022     证书编号: CQC24QY20047R0M/1100
京ICP备05066980号-1         京公网安备110107000727号