扫码关注公众号           扫码咨询技术支持           扫码咨询技术服务
  
客服热线:400-901-9800  客服QQ:4009019800  技术答疑  技术支持  质量反馈  人才招聘  关于我们  联系我们
产品中心-北京博奥森生物技术有限公司
首页 > 产品中心 > 试剂盒 > 产品信息
Human Hsp27 Ready-To-Use IHC Kit (IHC0458H)  
订购热线:400-901-9800
订购邮箱:sales@bioss.com.cn
订购QQ:  400-901-9800
技术支持:techsupport@bioss.com.cn
50T/3200.00元
大包装/询价

产品编号 IHC0458H
英文名称 Human Hsp27 Ready-To-Use IHC Kit
中文名称 人热休克蛋白27即用型免疫组化试剂盒
别    名 CMT2F; HEL-S-102; HMN2B; HS.76067; Hsp25; HSP27; HSP28; HSPB1; SRP27  
克 隆 号
适用样品基质 FFPE tissue
保存条件 Please store components at the temperatures indicated on the individual tube labels. The kit is stable for 6 months from the date of receipt.
产品介绍 In response to adverse changes in their environment, cells from many organisms increase the expression of a class of proteins referred to as heat shock or stress proteins. HSPB1 (heat shock protein beta-1 or HSP27) is a small heat shock protein which functions as a molecular chaperone that maintains denatured proteins in a folding-competent state. It plays a role in stress resistance and actin organization. Through its molecular chaperone activity, HSP27 regulates numerous biological processes including the phosphorylation and the axonal transport of neurofilament proteins. Mutations in the gene can result in Charcot-Marie-Tooth disease 2F and Neuronopathy distal hereditary motor 2B.

SWISS:
P04792

Gene ID:
3315

产品图片
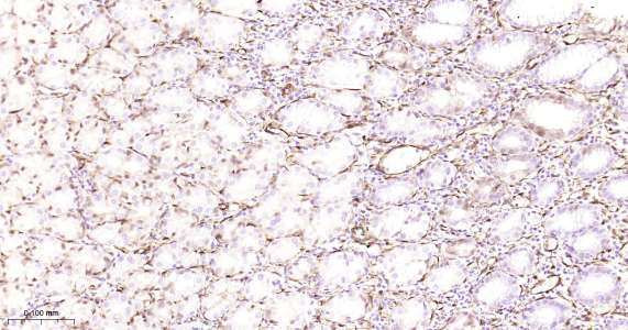
Immunohistochemical analysis of paraffin embedded human stomach tissue slide using IHC0458H (Human Hsp27 IHC Kit).
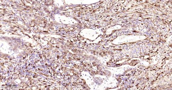
Immunohistochemical analysis of paraffin embedded human lung cancer tissue slide using IHC0458H (Human Hsp27 IHC Kit).
版权所有 2004-2026 www.bioss.com.cn 北京博奥森生物技术有限公司
通过国际质量管理体系ISO 9001:2015 GB/T 19001-2016    证书编号: 00124Q34771R2M/1100
通过国际医疗器械-质量管理体系ISO 13485:2016 GB/T 42061-2022     证书编号: CQC24QY20047R0M/1100
京ICP备05066980号-1         京公网安备110107000727号