扫码关注公众号           扫码咨询技术支持           扫码咨询技术服务
  
客服热线:400-901-9800  客服QQ:4009019800  技术答疑  技术支持  质量反馈  人才招聘  关于我们  联系我们
产品中心-北京博奥森生物技术有限公司
首页 > 产品中心 > 试剂盒 > 产品信息
Human NPHS2 Ready-To-Use IHC Kit (IHC0472H)  
订购热线:400-901-9800
订购邮箱:sales@bioss.com.cn
订购QQ:  400-901-9800
技术支持:techsupport@bioss.com.cn
50T/3200.00元
大包装/询价

产品编号 IHC0472H
英文名称 Human NPHS2 Ready-To-Use IHC Kit
中文名称 人肾小球裂孔膜蛋白PDCN即用型免疫组化试剂盒
别    名 AI790225; NPHS2; podocin; nephrosis 2; idiopathic; steroid resistant; NPHS2 gene; PDCN; Podocin; SRN1; PODO_HUMAN  
克 隆 号
适用样品基质 FFPE tissue
保存条件 Please store components at the temperatures indicated on the individual tube labels. The kit is stable for 6 months from the date of receipt.
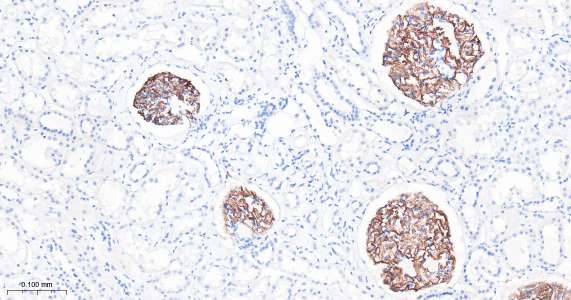
产品介绍 The pathological conditions of SRN1 correlate well with mutations at the NPHS2 gene, where expression of a protein known as Podocin occurs. Abnormal or inefficient signaling through Podocin protein-dependent networks contributes to the development of podocyte dysfunction and proteinuria. The human NPHS2 gene maps to chromosome 1q25-q31 and encodes a 383 amino acid protein. Podocin is an integral membrane protein that appears to fold into a hairpin-like structure with intracellular amino- and carboxy-termini. Transmembrane and cytoplasmic portions of Podocin share homology to the corresponding regions of the stomatin family proteins. Expression of high-order oligomers of Podocin in glomerular podocytes may reflect a scaffolding function that influences proper function of the glomerular filtration barrier, which is necessary for renal stability.

SWISS:
Q9NP85

Gene ID:
7827

产品图片
Immunohistochemical analysis of paraffin embedded human kidney tissue slide using IHC0472H (Human NPHS2 IHC Kit).
版权所有 2004-2026 www.bioss.com.cn 北京博奥森生物技术有限公司
通过国际质量管理体系ISO 9001:2015 GB/T 19001-2016    证书编号: 00124Q34771R2M/1100
通过国际医疗器械-质量管理体系ISO 13485:2016 GB/T 42061-2022     证书编号: CQC24QY20047R0M/1100
京ICP备05066980号-1         京公网安备110107000727号