扫码关注公众号           扫码咨询技术支持           扫码咨询技术服务
  
客服热线:400-901-9800  客服QQ:4009019800  技术答疑  技术支持  质量反馈  人才招聘  关于我们  联系我们
产品中心-北京博奥森生物技术有限公司
首页 > 产品中心 > 试剂盒 > 产品信息
Human SOD2 Ready-To-Use IHC Kit (IHC0479H)  
订购热线:400-901-9800
订购邮箱:sales@bioss.com.cn
订购QQ:  400-901-9800
技术支持:techsupport@bioss.com.cn
50T/3200.00元
大包装/询价

产品编号 IHC0479H
英文名称 Human SOD2 Ready-To-Use IHC Kit
中文名称 人超氧化物歧化酶2即用型免疫组化试剂盒
别    名 IPO-B; IPOB; Mn-SOD; MNSOD; MVCD6; SOD2  
克 隆 号
适用样品基质 FFPE tissue
保存条件 Please store components at the temperatures indicated on the individual tube labels. The kit is stable for 6 months from the date of receipt.
产品介绍 Superoxide dismutase (SOD) is an antioxidant enzyme involved in the defense system against reactive oxygen species (ROS). SOD catalyzes the dismutation reaction of superoxide radical anion (O2) to hydrogen peroxide, which is then catalyzed to innocuous O2 and H2O by glutathione peroxidase and catalase. Several classes of SOD have been identified. These include intracellular copper, zinc SOD (Cu, Zn-SOD/SOD-1), mitochondrial manganese SOD (Mn-SOD/SOD-2) and extracellular Cu, Zn-SOD (EC-SOD/SOD-3). SOD1 is found in all eukaryotic species as a homodimeric 32 kDa enzyme containing one each of Cu and Zn ion per subunit. The manganese containing 80 kDa tetrameric enzyme SOD2, is located in the mitochondrial matrix in close proximity to a primary endogenous source of superoxide, the mitochondrial respiratory chain. SOD3 is a heparin-binding multimer of disulfide-linked dimers, primarily expressed in human lungs, vessel walls and airways. SOD4 is a copper chaperone for superoxide dismutase (CCS), which specifically delivers Cu to copper/zinc superoxide dismutase. CCS may activate copper/zinc superoxide dismutase through direct insertion of the Cu cofactor.

SWISS:
P04179

Gene ID:
6648

产品图片
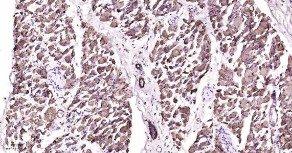
Immunohistochemical analysis of paraffin embedded human skeletal muscle tissue slide using IHC0479H (Human SOD2 IHC Kit).
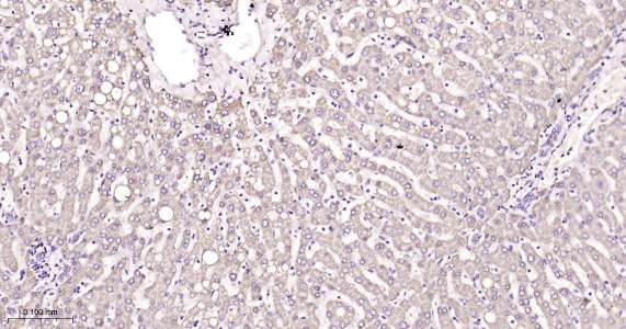
Immunohistochemical analysis of paraffin embedded human liver tissue slide using IHC0479H (Human SOD2 IHC Kit).
版权所有 2004-2026 www.bioss.com.cn 北京博奥森生物技术有限公司
通过国际质量管理体系ISO 9001:2015 GB/T 19001-2016    证书编号: 00124Q34771R2M/1100
通过国际医疗器械-质量管理体系ISO 13485:2016 GB/T 42061-2022     证书编号: CQC24QY20047R0M/1100
京ICP备05066980号-1         京公网安备110107000727号