扫码关注公众号           扫码咨询技术支持           扫码咨询技术服务
  
客服热线:400-901-9800  客服QQ:4009019800  技术答疑  技术支持  质量反馈  人才招聘  关于我们  联系我们
产品中心-北京博奥森生物技术有限公司
首页 > 产品中心 > 试剂盒 > 产品信息
Human CPT1A Ready-To-Use IHC Kit (IHC0491H)  
订购热线:400-901-9800
订购邮箱:sales@bioss.com.cn
订购QQ:  400-901-9800
技术支持:techsupport@bioss.com.cn
50T/3200.00元
大包装/询价

产品编号 IHC0491H
英文名称 Human CPT1A Ready-To-Use IHC Kit
中文名称 人肉毒碱棕榈酰基转移酶1A即用型免疫组化试剂盒
别    名 C730027G07; Cpt-1; CPT-Ia; CPT1; CPTI; L-CPT1; CPT 1; CPT1A; CPTI-L; CPT1-L; carnitine palmitoyl transferase 1; Carnitine O-palmitoyltransferase 1; liver isoform; CPT I; Carnitine palmitoyltransferase 1A; carnitine O-palmitoyltransferase 1; liver isoform isoform 1; CPT1A_HUMAN  
克 隆 号
适用样品基质 FFPE tissue
保存条件 Please store components at the temperatures indicated on the individual tube labels. The kit is stable for 6 months from the date of receipt.
产品介绍 The mitochondrial oxidation of long-chain fatty acids is initiated by the sequential action of carnitine palmitoyltransferase I (which is located in the outer membrane and is detergent-labile) and carnitine palmitoyltransferase II (which is located in the inner membrane and is detergent-stable), together with a carnitine-acylcarnitine translocase. CPT I is the key enzyme in the carnitine-dependent transport across the mitochondrial inner membrane and its deficiency results in a decreased rate of fatty acid beta-oxidation. Alternatively spliced transcript variants encoding different isoforms have been found for this gene.

SWISS:
P50416

Gene ID:
1374

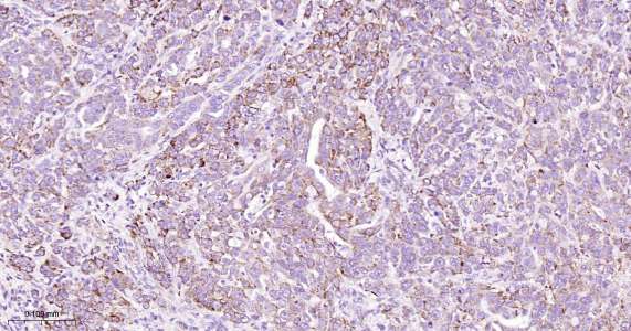
产品图片
Immunohistochemical analysis of paraffin embedded human kidney tissue slide using IHC0491H (Human CPT1A IHC Kit).
Immunohistochemical analysis of paraffin embedded human breast cancer tissue slide using IHC0491H (Human CPT1A IHC Kit).
Immunohistochemical analysis of paraffin embedded human ovarian cancer tissue slide using IHC0491H (Human CPT1A IHC Kit).
Immunohistochemical analysis of paraffin embedded human liver tissue slide using IHC0491H (Human CPT1A IHC Kit).
版权所有 2004-2026 www.bioss.com.cn 北京博奥森生物技术有限公司
通过国际质量管理体系ISO 9001:2015 GB/T 19001-2016    证书编号: 00124Q34771R2M/1100
通过国际医疗器械-质量管理体系ISO 13485:2016 GB/T 42061-2022     证书编号: CQC24QY20047R0M/1100
京ICP备05066980号-1         京公网安备110107000727号