扫码关注公众号           扫码咨询技术支持           扫码咨询技术服务
  
客服热线:400-901-9800  客服QQ:4009019800  技术答疑  技术支持  质量反馈  人才招聘  关于我们  联系我们
产品中心-北京博奥森生物技术有限公司
首页 > 产品中心 > 试剂盒 > 产品信息
CD3E Ready-To-Use IHC Kit (IHC0363)  
订购热线:400-901-9800
订购邮箱:sales@bioss.com.cn
订购QQ:  400-901-9800
技术支持:techsupport@bioss.com.cn
50T/3200.00元
大包装/询价

产品编号 IHC0363
英文名称 CD3E Ready-To-Use IHC Kit
中文名称 CD3E即用型免疫组化试剂盒
别    名 4930549J05Rik, A430104F18Rik, AI504783, AW552088, CD247, CD3, CD3-DELTA, Cd3-eta, CD3-GAMMA, CD3-ZETA, CD3D, CD3E, CD3epsilon, CD3G, CD3H, CD3Q, CD3Z, Cd3zeta, Ctg-3, Ctg3, IMD17, IMD18, IMD19, IMD25, T3D, T3E, T3G, T3Z, TCRE, Tcrk, TCRZ, CD3 epsilon, CD3-epsilon  
克 隆 号
适用样品基质 FFPE tissue
保存条件 Please store components at the temperatures indicated on the individual tube labels. The kit is stable for 6 months from the date of receipt.
产品介绍 The CD3 subunit complex which is crucial in transducing antigen-recognition signals into the cytoplasm of T cells and in regulating the cell surface expression of the TCR complex. T cell activation through the antigen receptor (TCR) involves the cytoplasmic tails of the CD3 subunits CD3 gamma, CD3 delta, CD3 epsilon and CD3 zeta. These CD3 subunits are structurally related members of the immunoglobulins super family encoded by closely linked genes on human chromosome 11. The CD3 components have long cytoplasmic tails that associate with cytoplasmic signal transduction molecules and this association is mediated at least in part by a double tyrosine-based motif present in a single copy in the CD3 subunits. CD3 may play a role in TCR-induced growth arrest, cell survival and proliferation. The CD3 antigen is present on 68-82% of normal peripheral blood lymphocytes, 65-85% of thymocytes and Purkinje cells in the cerebellum. It is never expressed on B or NK cells. Decreased percentages of T lymphocytes may be observed in some autoimmune diseases. The genes encoding the CD3 epsilon, gamma and delta polypeptides are located on chromosome 11. Defects in the CD3 gene are associated with CD3 immunodeficiency.

SWISS:
P07766

Gene ID:
916

产品图片
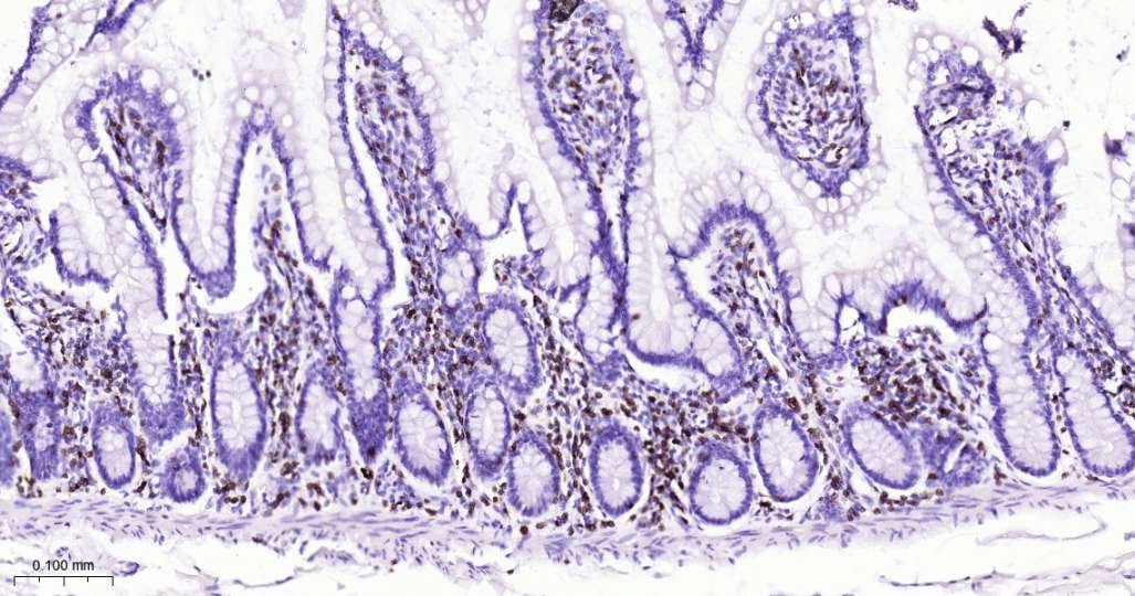
Immunohistochemical analysis of paraffin embedded human small intestine tissue slide using IHC0363 (CD3E Kit).
Immunohistochemical analysis of paraffin embedded human spleen tissue slide using IHC0363 (CD3E Kit).
Immunohistochemical analysis of paraffin embedded rat spleen tissue slide using IHC0363 (CD3E Kit).
Immunohistochemical analysis of paraffin embedded mouse spleen tissue slide using IHC0363 (CD3E Kit).
版权所有 2004-2026 www.bioss.com.cn 北京博奥森生物技术有限公司
通过国际质量管理体系ISO 9001:2015 GB/T 19001-2016    证书编号: 00124Q34771R2M/1100
通过国际医疗器械-质量管理体系ISO 13485:2016 GB/T 42061-2022     证书编号: CQC24QY20047R0M/1100
京ICP备05066980号-1         京公网安备110107000727号