扫码关注公众号           扫码咨询技术支持           扫码咨询技术服务
  
客服热线:400-901-9800  客服QQ:4009019800  技术答疑  技术支持  质量反馈  人才招聘  关于我们  联系我们
产品中心-北京博奥森生物技术有限公司
首页 > 产品中心 > 试剂盒 > 产品信息
Human IMP3 Ready-To-Use IHC Kit (IHC0504H)  
订购热线:400-901-9800
订购邮箱:sales@bioss.com.cn
订购QQ:  400-901-9800
技术支持:techsupport@bioss.com.cn
50T/3200.00元
大包装/询价

产品编号 IHC0504H
英文名称 Human IMP3 Ready-To-Use IHC Kit
中文名称 人胰岛素样生长因子2mRNA结合蛋白3即用型免疫组化试剂盒
别    名 CT98; IGF2BP3; IMP-3; IMP3; KOC; KOC1; VICKZ3  
克 隆 号
适用样品基质 FFPE tissue
保存条件 Please store components at the temperatures indicated on the individual tube labels. The kit is stable for 6 months from the date of receipt.
产品介绍 Insulin-like growth factor-II messenger RNA (mRNA)-binding protein-3 (IMP-3), also known as K homology domain-containing protein overexpressed in cancer (KOC) and L523S, is a member of the insulin-like growth factor-II mRNA-binding protein family and is expressed during embryogenesis and in some malignancies. IMP-3 is expressed in malignant melanoma but not in benign nevi, even when dysplastic features are present; IMP-3 is expressed in a significantly higher proportion of melanomas than Spitz nevi; and IMP-3 is expressed in metastatic melanomas significantly more than in thin melanomas. IMP-3 appears to be involved in the progression of malignant melanoma and may play an important role in the regulation of the biologic behavior of this tumor.

SWISS:
O00425

Gene ID:
10643

产品图片
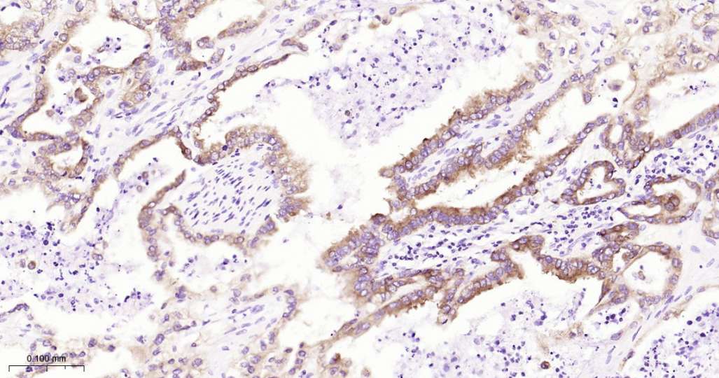
Immunohistochemical analysis of paraffin embedded Human pancreatic cancer tissue slide using IHC0504H (Human IMP3 Kit).
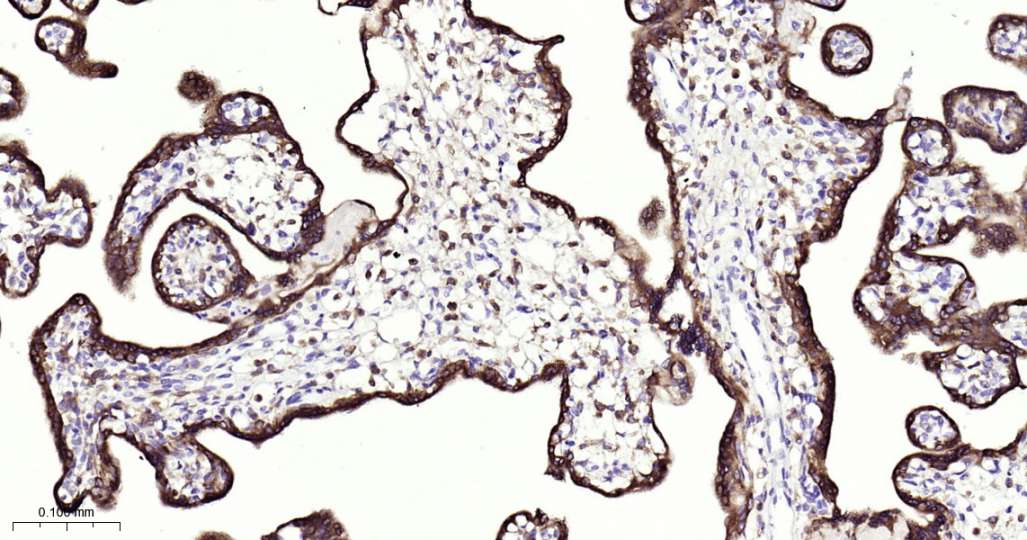
Immunohistochemical analysis of paraffin embedded Human placenta tissue slide using IHC0504H (Human IMP3 Kit).
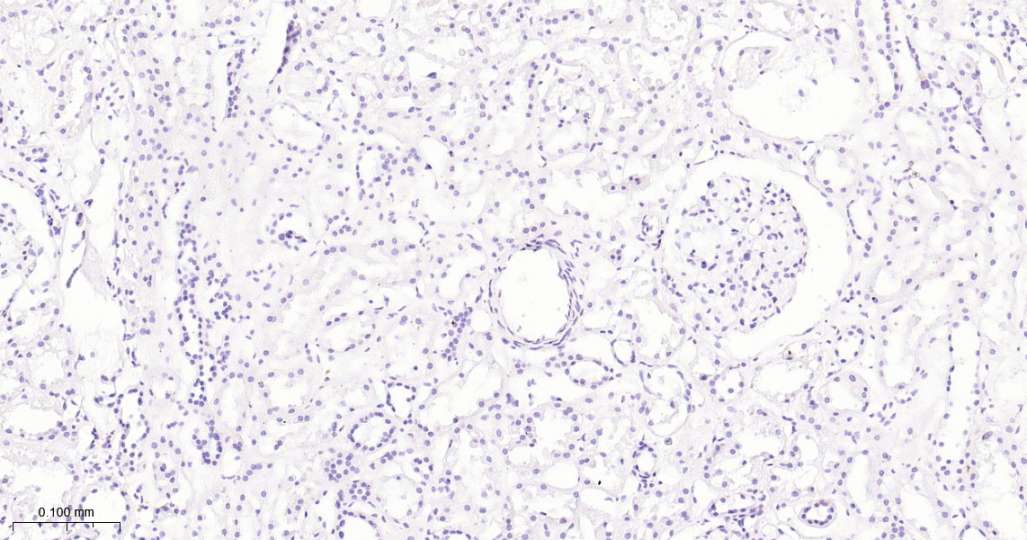
Immunohistochemical analysis of paraffin embedded Human kidney tissue slide using IHC0504H (Human IMP3 Kit).
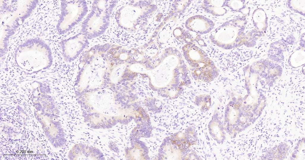
Immunohistochemical analysis of paraffin embedded Human colon cancer tissue slide using IHC0504H (Human IMP3 Kit).
版权所有 2004-2026 www.bioss.com.cn 北京博奥森生物技术有限公司
通过国际质量管理体系ISO 9001:2015 GB/T 19001-2016    证书编号: 00124Q34771R2M/1100
通过国际医疗器械-质量管理体系ISO 13485:2016 GB/T 42061-2022     证书编号: CQC24QY20047R0M/1100
京ICP备05066980号-1         京公网安备110107000727号