扫码关注公众号           扫码咨询技术支持           扫码咨询技术服务
  
客服热线:400-901-9800  客服QQ:4009019800  技术答疑  技术支持  质量反馈  人才招聘  关于我们  联系我们
产品中心-北京博奥森生物技术有限公司
首页 > 产品中心 > 试剂盒 > 产品信息
Mouse FOXL2 Ready-To-Use IHC Kit (IHC0505M)  
订购热线:400-901-9800
订购邮箱:sales@bioss.com.cn
订购QQ:  400-901-9800
技术支持:techsupport@bioss.com.cn
50T/3200.00元
大包装/询价

产品编号 IHC0505M
英文名称 Mouse FOXL2 Ready-To-Use IHC Kit
中文名称 小鼠叉头蛋白L2即用型免疫组化试剂盒
别    名 AU045128; BPES; BPES1; FOXL2; PFRK; PINTO; POF3  
克 隆 号
适用样品基质 FFPE tissue
保存条件 Please store components at the temperatures indicated on the individual tube labels. The kit is stable for 6 months from the date of receipt.
产品介绍 FOXL2 is a winged helix/forkhead transcription factor that is highly conserved in human, goat, mouse, and certain aquatic species. Given its cross-species conservation, it appears to play a critical role evolutionarily, likely in ovarian differentiation in mammals and in ovarian somatic cell differentiation and in further follicle development and/or maintenance. Immunohistochemical data shows that FOXL2 is a nuclear protein specifically expressed in eyelids and in fetal and adult ovarian follicular cells. It does not undergo any major posttranslational modifications. FOXL2 is also found to be associated with blepharo-phimosis/ptosis/epicanthus inverses syndrome (BPES). There are two forms of BPES. Type I BPES shows eyelid abnormal-ities that are associated with ovarian failure. In type II BPES, only eyelid defects are found. Studies have shown that FOXL2 is expressed in the mesenchyme of developing mouse eyelids and in adult ovarian follicles.

SWISS:
P58012

Gene ID:
668

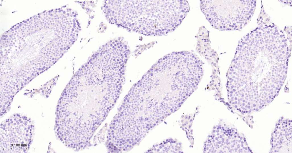
产品图片
Immunohistochemical analysis of paraffin embedded Mouse testis tissue slide using IHC0505M (Mouse FOXL2 Kit).
版权所有 2004-2026 www.bioss.com.cn 北京博奥森生物技术有限公司
通过国际质量管理体系ISO 9001:2015 GB/T 19001-2016    证书编号: 00124Q34771R2M/1100
通过国际医疗器械-质量管理体系ISO 13485:2016 GB/T 42061-2022     证书编号: CQC24QY20047R0M/1100
京ICP备05066980号-1         京公网安备110107000727号