扫码关注公众号           扫码咨询技术支持           扫码咨询技术服务
  
客服热线:400-901-9800  客服QQ:4009019800  技术答疑  技术支持  质量反馈  人才招聘  关于我们  联系我们
产品中心-北京博奥森生物技术有限公司
首页 > 产品中心 > 试剂盒 > 产品信息
Rat SATB2 Ready-To-Use IHC Kit (IHC0506R)  
订购热线:400-901-9800
订购邮箱:sales@bioss.com.cn
订购QQ:  400-901-9800
技术支持:techsupport@bioss.com.cn
50T/3200.00元
大包装/询价

产品编号 IHC0506R
英文名称 Rat SATB2 Ready-To-Use IHC Kit
中文名称 大鼠DNA结合蛋白2即用型免疫组化试剂盒
别    名 GLSS; KIAA1034; SATB2; DNA binding protein SATB2; SATB homeobox 2  
克 隆 号
适用样品基质 FFPE tissue
保存条件 Please store components at the temperatures indicated on the individual tube labels. The kit is stable for 6 months from the date of receipt.
产品介绍 DNA-binding protein SATB2 binds to DNA at the nuclear matrix- or scaffold associated regions. It is thought to recognize the sugar-phosphate structure of double-stranded DNA. SATB2 is a transcription factor controlling nuclear gene expression by binding to matrix attachment regions (MARs) of DNA and inducing a local chromatin-loop remodeling. It also acts as a docking site for several chromatin remodeling enzymes by recruiting corepressors (HDACs) or coactivators (HATs) directly to promoters and enhancers. SATB2 is required for the initiation of the upper-layer neurons (UL1) specific genetic program and for the inactivation of deep-layer neurons (DL) and UL2 specific genes - probably by modulating BCL11B expression. It is a repressor of Ctip2 and a regulatory determinant of corticocortical connections in the developing cerebral cortex. Mutations in the gene are associate with cleft palate isolated (CPI).

SWISS:
Q9UPW6

Gene ID:
23314

产品图片
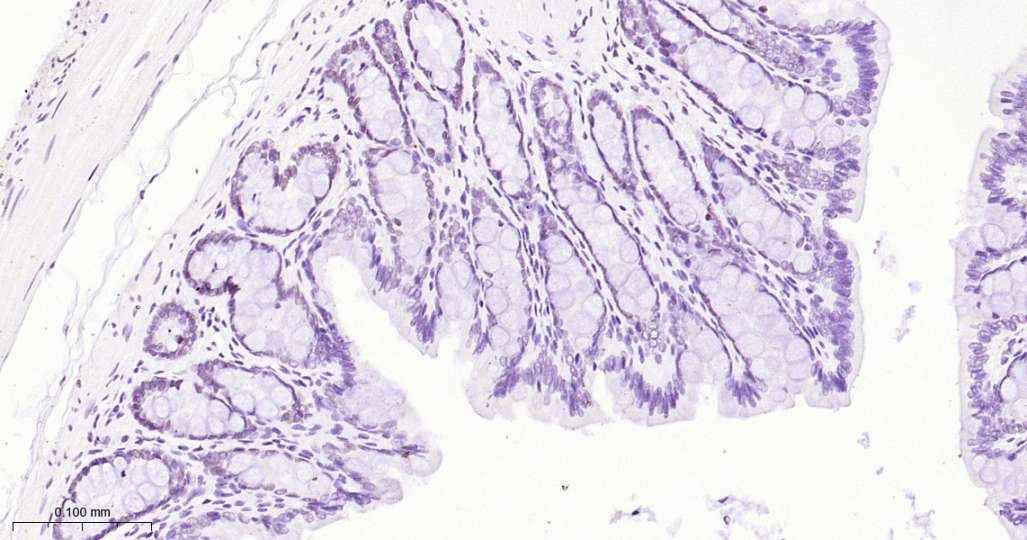
Immunohistochemical analysis of paraffin embedded Rat colon tissue slide using IHC0506R (Rat SATB2 Kit).
版权所有 2004-2026 www.bioss.com.cn 北京博奥森生物技术有限公司
通过国际质量管理体系ISO 9001:2015 GB/T 19001-2016    证书编号: 00124Q34771R2M/1100
通过国际医疗器械-质量管理体系ISO 13485:2016 GB/T 42061-2022     证书编号: CQC24QY20047R0M/1100
京ICP备05066980号-1         京公网安备110107000727号