扫码关注公众号           扫码咨询技术支持           扫码咨询技术服务
  
客服热线:400-901-9800  客服QQ:4009019800  技术答疑  技术支持  质量反馈  人才招聘  关于我们  联系我们
产品中心-北京博奥森生物技术有限公司
首页 > 产品中心 > 试剂盒 > 产品信息
Human GCLM Ready-To-Use IHC Kit (IHC0508H)  
订购热线:400-901-9800
订购邮箱:sales@bioss.com.cn
订购QQ:  400-901-9800
技术支持:techsupport@bioss.com.cn
50T/3200.00元
大包装/询价

产品编号 IHC0508H
英文名称 Human GCLM Ready-To-Use IHC Kit
中文名称 人GCLM即用型免疫组化试剂盒
别    名 AI649393; Gcmc; Gamma ECS regulatory subunit; Gamma-ECS regulatory subunit; Gamma-glutamylcysteine synthetase regulatory subunit; GCLM; GCS light chain; GLCLR; Glutamate cysteine ligase regulatory subunit; Glutamate--cysteine ligase modifier subunit; Glutamate--cysteine ligase regulatory subunit; GSC light chain; GSH0_HUMAN  
克 隆 号
适用样品基质 FFPE tissue
保存条件 Please store components at the temperatures indicated on the individual tube labels. The kit is stable for 6 months from the date of receipt.
产品介绍 Gamma-glutamylcysteine synthetase (gamma-GCS) is the rate limiting enzyme for glutathione (L-gamma-glutamyl-L-cysteinylglycine, GSH) synthesis. GSH is ubiquitous in mammalian cells as a vital intra- and extracellular protective antioxidant. Gamma-GCS is a heterodimer of a heavy catalytic subunit and a light regulatory subunit that is responsive to inflammation, phenolic ntioxidants, heat shock, oxidants and cytokines.

SWISS:
P48507

Gene ID:
2730

产品图片
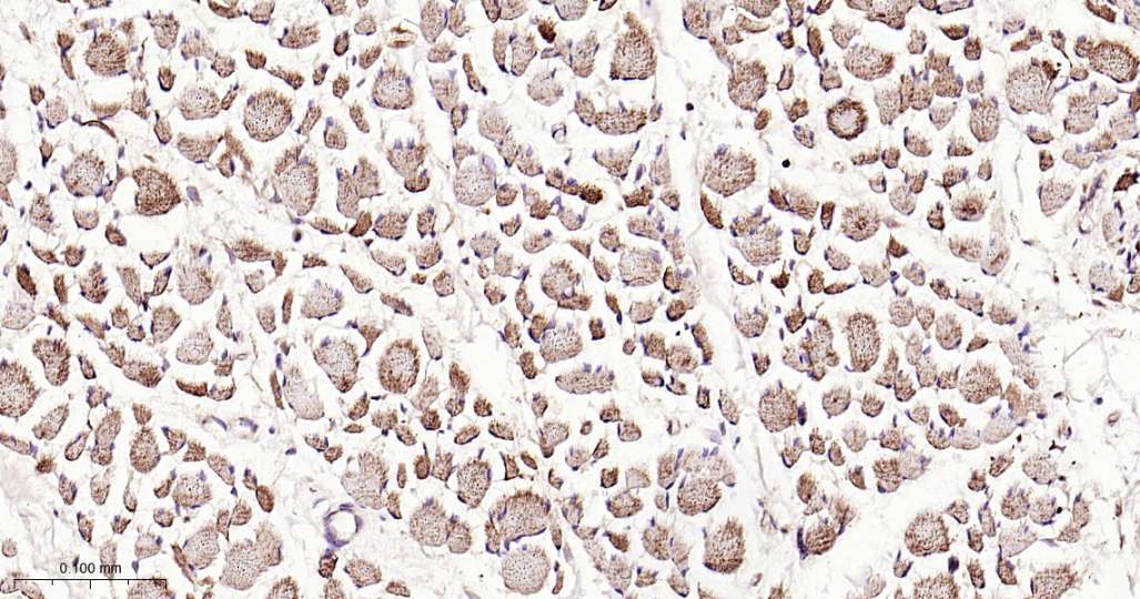
Immunohistochemical analysis of paraffin embedded Human skeletal muscle tissue slide using IHC0508H (Human GCLM Kit).
版权所有 2004-2026 www.bioss.com.cn 北京博奥森生物技术有限公司
通过国际质量管理体系ISO 9001:2015 GB/T 19001-2016    证书编号: 00124Q34771R2M/1100
通过国际医疗器械-质量管理体系ISO 13485:2016 GB/T 42061-2022     证书编号: CQC24QY20047R0M/1100
京ICP备05066980号-1         京公网安备110107000727号