扫码关注公众号           扫码咨询技术支持           扫码咨询技术服务
  
客服热线:400-901-9800  客服QQ:4009019800  技术答疑  技术支持  质量反馈  人才招聘  关于我们  联系我们
产品中心-北京博奥森生物技术有限公司
首页 > 产品中心 > 试剂盒 > 产品信息
Human ZAP70 Ready-To-Use IHC Kit (IHC0509H)  
订购热线:400-901-9800
订购邮箱:sales@bioss.com.cn
订购QQ:  400-901-9800
技术支持:techsupport@bioss.com.cn
50T/3200.00元
大包装/询价

产品编号 IHC0509H
英文名称 Human ZAP70 Ready-To-Use IHC Kit
中文名称 人zeta相关蛋白70即用型免疫组化试剂盒
别    名 ADMIO2; IMD48; mrtle; mur; SRK; STCD; STD; TZK; ZAP-70; ZAP70  
克 隆 号
适用样品基质 FFPE tissue
保存条件 Please store components at the temperatures indicated on the individual tube labels. The kit is stable for 6 months from the date of receipt.
产品介绍 ZAP-70 is a cytosolic protein tyrosine kinase that is a member of the Syk family of proteins. ZAP-70 is expressed exclusively in T-cells and natural killer cells and is required for T-cell receptor activation. Upon T cell antigen receptor (TCR) engagement, ZAP70 is phosphorylated on tyrosines 292, 315 and 319 in the interdomain B, located between the SH2 and kinase domains. Phosphorylation of both tyrosines 315 (a Vav binding site) and 319 (a Lck binding site) enhances ZAP70 function in mediating lymphocyte signaling, while tyrosine 292 terminates the transient activation of ZAP70 and attentuates lymphocyte signaling.

SWISS:
P43403

Gene ID:
7535

产品图片
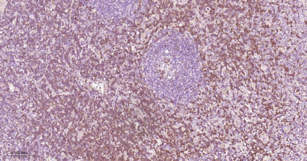
Immunohistochemical analysis of paraffin embedded Human lymph nodes tissue slide using IHC0509H (Human ZAP70 Kit).
Immunohistochemical analysis of paraffin embedded Human tonsil tissue slide using IHC0509H (Human ZAP70 Kit).
版权所有 2004-2026 www.bioss.com.cn 北京博奥森生物技术有限公司
通过国际质量管理体系ISO 9001:2015 GB/T 19001-2016    证书编号: 00124Q34771R2M/1100
通过国际医疗器械-质量管理体系ISO 13485:2016 GB/T 42061-2022     证书编号: CQC24QY20047R0M/1100
京ICP备05066980号-1         京公网安备110107000727号