扫码关注公众号           扫码咨询技术支持           扫码咨询技术服务
  
客服热线:400-901-9800  客服QQ:4009019800  技术答疑  技术支持  质量反馈  人才招聘  关于我们  联系我们
产品中心-北京博奥森生物技术有限公司
首页 > 产品中心 > 试剂盒 > 产品信息
Human HIF-1 beta Ready-To-Use IHC Kit (IHC0512H)  
订购热线:400-901-9800
订购邮箱:sales@bioss.com.cn
订购QQ:  400-901-9800
技术支持:techsupport@bioss.com.cn
50T/3200.00元
大包装/询价

产品编号 IHC0512H
英文名称 Human HIF-1 beta Ready-To-Use IHC Kit
中文名称 人缺氧诱导因子1β/HIF-1β即用型免疫组化试剂盒
别    名 ARNT; Arnt1; BHLHE2; D3Ertd557e; Drnt; ESTM42; HIF-1-beta; HIF-1beta; HIF1-beta; HIF1B; HIF1BETA; mKIAA4051; TANGO; W08714; bHLHe2  
克 隆 号
适用样品基质 FFPE tissue
保存条件 Please store components at the temperatures indicated on the individual tube labels. The kit is stable for 6 months from the date of receipt.
产品介绍 HIF-1 beta is a series of aryl hydrocarbon receptor nuclear translocator (ARNT) gene products. Hypoxia contributes significantly to the pathophysiology of major categories of human disease, including myocardial and cerebral ischemia, cancer, pulmonary hypertension, congenital heart disease and chronic obstructive pulmonary disease. Hypoxia contributes significantly to the pathophysiology of major categories of human disease, including myocardial and cerebral ischemia, cancer, pulmonary hypertension, congenital heart disease and chronic obstructive pulmonary disease. HIF-1 is a nuclear protein involved in mammalian oxygen homeostasis. This occurs as a posttranslational modification by prolyl hydroxylation. HIF-1 is a heterodimer composed of HIF-1 alpha and HIF-1 beta subunits. Both subunits are constantly translated. However, under normoxic conditions, human HIF-1 alpha is hydroxylated at Pro402 or Pro564 by a set of HIF prolyl hydroxylases, is polyubiquinated, and eventually degraded in proteosomes. Under hypoxic conditions, the lack of hydroxylation prevents HIF degradation and increases transcriptional activity. Therefore, the concentration of HIF-1 alpha increases in the cell. In contrast, HIF-1 beta remains stable under either condition. HIF-1 beta is a series of aryl hydrocarbon receptor nuclear translocator (ARNT) gene products. Diseases associated with HIF-1 beta dysfunction include hypoxia and renal cell carcinoma.HIF-1 beta is a series of aryl hydrocarbon receptor nuclear translocator (ARNT) gene products. Hypoxia contributes significantly to the pathophysiology of major categories of human disease, including myocardial and cerebral ischemia, cancer, pulmonary hypertension, congenital heart disease and chronic obstructive pulmonary disease. Hypoxia contributes significantly to the pathophysiology of major categories of human disease, including myocardial and cerebral ischemia, cancer, pulmonary hypertension, congenital heart disease and chronic obstructive pulmonary disease. HIF-1 is a nuclear protein involved in mammalian oxygen homeostasis. This occurs as a posttranslational modification by prolyl hydroxylation. HIF-1 is a heterodimer composed of HIF-1 alpha and HIF-1 beta subunits. Both subunits are constantly translated. However, under normoxic conditions, human HIF-1 alpha is hydroxylated at Pro402 or Pro564 by a set of HIF prolyl hydroxylases, is polyubiquinated, and eventually degraded in proteosomes. Under hypoxic conditions, the lack of hydroxylation prevents HIF degradation and increases transcriptional activity. Therefore, the concentration of HIF-1 alpha increases in the cell. In contrast, HIF-1 beta remains stable under either condition. HIF-1 beta is a series of aryl hydrocarbon receptor nuclear translocator (ARNT) gene products. Diseases associated with HIF-1 beta dysfunction include hypoxia and renal cell carcinoma.

SWISS:
P27540

Gene ID:
405

产品图片
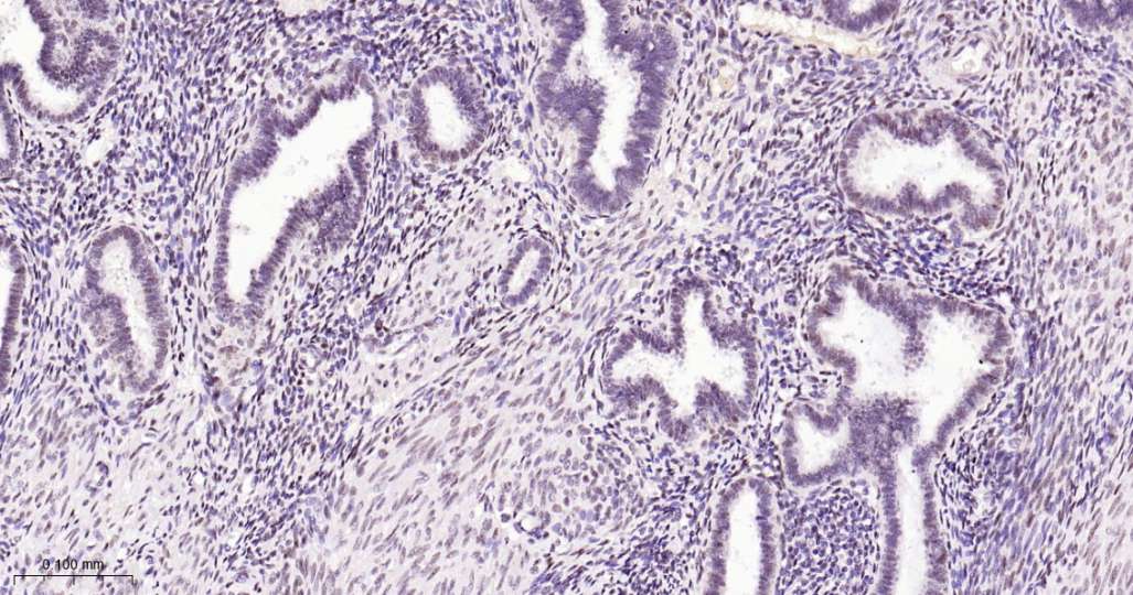
Immunohistochemical analysis of paraffin embedded Human uterus tissue slide using IHC0512H (Human HIF-1 beta Kit).
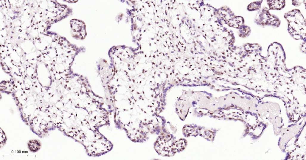
Immunohistochemical analysis of paraffin embedded Human placenta tissue slide using IHC0512H (Human HIF-1 beta Kit).
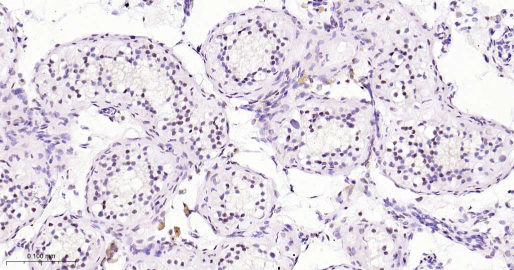
Immunohistochemical analysis of paraffin embedded Human testis tissue slide using IHC0512H (Human HIF-1 beta Kit).
版权所有 2004-2026 www.bioss.com.cn 北京博奥森生物技术有限公司
通过国际质量管理体系ISO 9001:2015 GB/T 19001-2016    证书编号: 00124Q34771R2M/1100
通过国际医疗器械-质量管理体系ISO 13485:2016 GB/T 42061-2022     证书编号: CQC24QY20047R0M/1100
京ICP备05066980号-1         京公网安备110107000727号