扫码关注公众号           扫码咨询技术支持           扫码咨询技术服务
  
客服热线:400-901-9800  客服QQ:4009019800  技术答疑  技术支持  质量反馈  人才招聘  关于我们  联系我们
产品中心-北京博奥森生物技术有限公司
首页 > 产品中心 > 试剂盒 > 产品信息
Human NUMA1 Ready-To-Use IHC Kit (IHC0513H)  
订购热线:400-901-9800
订购邮箱:sales@bioss.com.cn
订购QQ:  400-901-9800
技术支持:techsupport@bioss.com.cn
50T/3200.00元
大包装/询价

产品编号 IHC0513H
英文名称 Human NUMA1 Ready-To-Use IHC Kit
中文名称 人核有丝分裂器NuMA蛋白即用型免疫组化试剂盒
别    名 NUMA; NUMA1; NUMA 1; NuMA protein; SP H antigen; Structural nuclear protein; Centrophilin stabilizes mitotic spindle in mitotic cells; Nuclear mitotic apparatus protein 1; Nuclear mitotic apparatus protein; NUMA1_HUMAN; NMP 22; NMP-22; NMP22; Nuclear matrix protein 22; Nuclear mitotic apparatus protein 1; Nuclear mitotic apparatus protein; NuMA protein; SP-H antigen  
克 隆 号
适用样品基质 FFPE tissue
保存条件 Please store components at the temperatures indicated on the individual tube labels. The kit is stable for 6 months from the date of receipt.
产品介绍 NuMA (nuclear mitotic apparatus) is a long coil-coiled protein that plays a role in the interphase and mitosis phases of a cell cycle. In interphase, it has been hypothesized to play a structural role in the nucleoskeleton that may be important in nuclear organization and functions. During mitosis, it is associated with spindle microtubule organization and chromosome positioning.

SWISS:
Q14980

Gene ID:
4926

产品图片
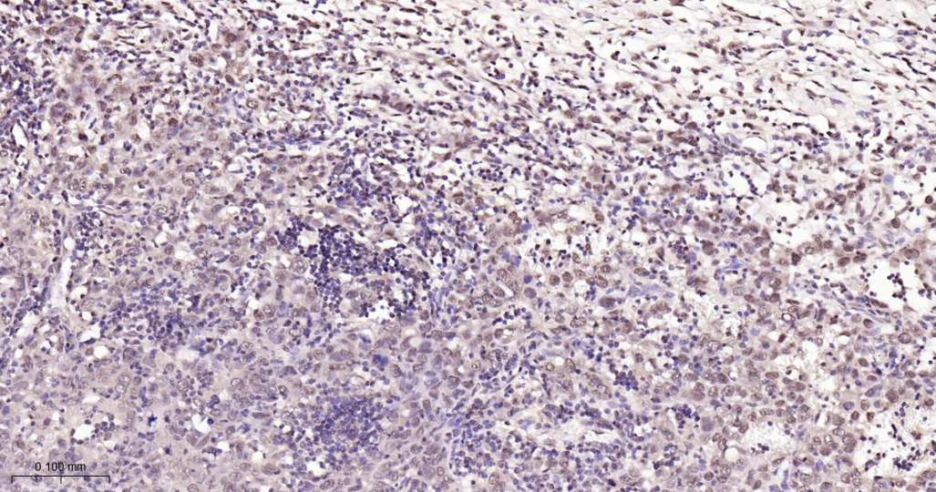
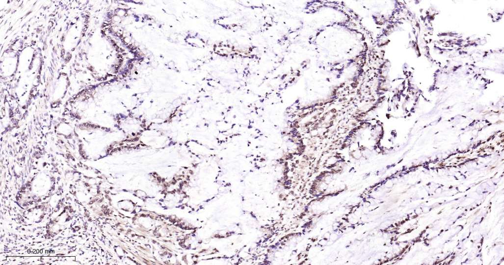
Immunohistochemical analysis of paraffin embedded Human gastric cancer tissue slide using IHC0513H (Human NUMA1 Kit).
Immunohistochemical analysis of paraffin embedded Human breast cancer tissue slide using IHC0513H (Human NUMA1 Kit).
Immunohistochemical analysis of paraffin embedded Human colon cancer tissue slide using IHC0513H (Human NUMA1 Kit).
版权所有 2004-2026 www.bioss.com.cn 北京博奥森生物技术有限公司
通过国际质量管理体系ISO 9001:2015 GB/T 19001-2016    证书编号: 00124Q34771R2M/1100
通过国际医疗器械-质量管理体系ISO 13485:2016 GB/T 42061-2022     证书编号: CQC24QY20047R0M/1100
京ICP备05066980号-1         京公网安备110107000727号