扫码关注公众号           扫码咨询技术支持           扫码咨询技术服务
  
客服热线:400-901-9800  客服QQ:4009019800  技术答疑  技术支持  质量反馈  人才招聘  关于我们  联系我们
产品中心-北京博奥森生物技术有限公司
首页 > 产品中心 > 试剂盒 > 产品信息
PAX8 Ready-To-Use IHC Kit (IHC0514)  
订购热线:400-901-9800
订购邮箱:sales@bioss.com.cn
订购QQ:  400-901-9800
技术支持:techsupport@bioss.com.cn
50T/3200.00元
大包装/询价

产品编号 IHC0514
英文名称 PAX8 Ready-To-Use IHC Kit
中文名称 配对盒基因8即用型免疫组化试剂盒
别    名 Pax-8; PAX8; Paired Box Gene 8; paired box homeotic gene 8; Paired box protein Pax 8; Paired Domain Gene 8; PAX 8; PAX-8; PAX8_HUMAN  
克 隆 号
适用样品基质 FFPE tissue
保存条件 Please store components at the temperatures indicated on the individual tube labels. The kit is stable for 6 months from the date of receipt.
产品介绍 This gene encodes a member of the paired box family of transcription factors. Members of this gene family typically encode proteins that contain a paired box domain, an octapeptide, and a paired-type homeodomain. This nuclear protein is involved in thyroid follicular cell development and expression of thyroid-specific genes. Mutations in this gene have been associated with thyroid dysgenesis, thyroid follicular carcinomas and atypical follicular thyroid adenomas. Alternatively spliced transcript variants encoding different isoforms have been described.

SWISS:
Q06710

Gene ID:
7849

产品图片
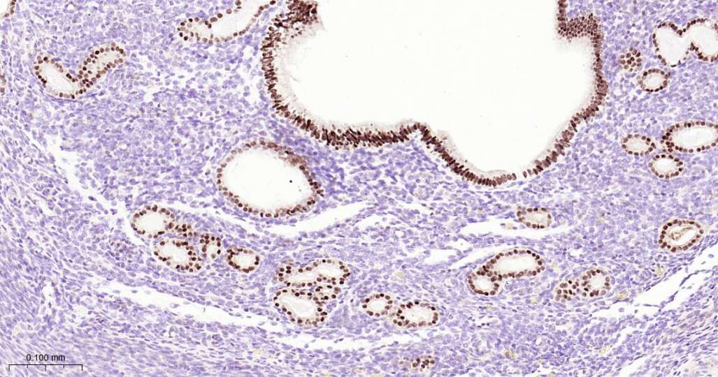
Immunohistochemical analysis of paraffin embedded Mouse uterus tissue slide using IHC0514 (PAX8 Kit).
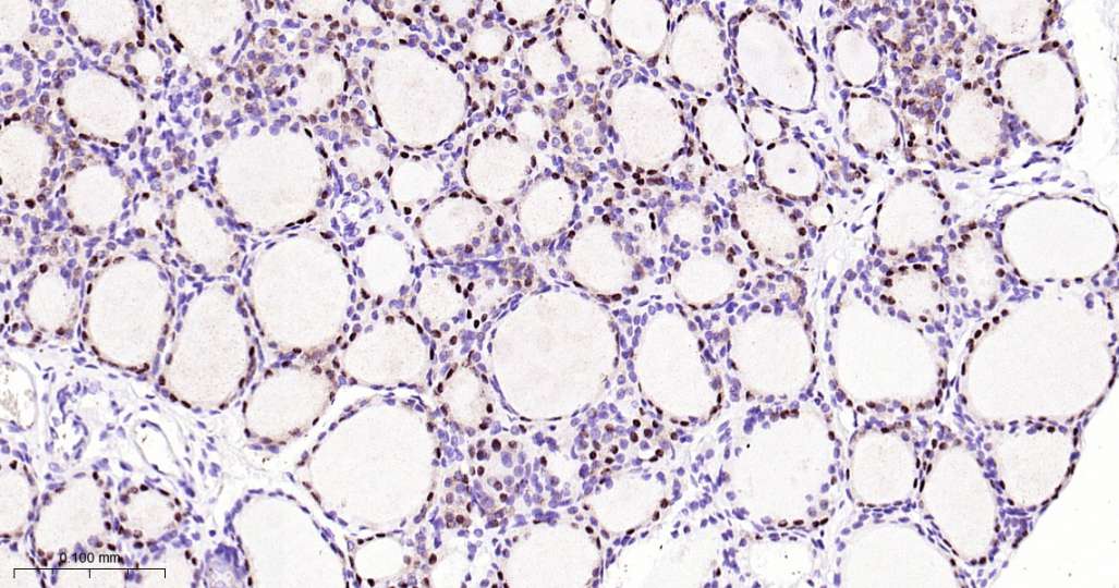
Immunohistochemical analysis of paraffin embedded Human thyroid gland tissue slide using IHC0514 (PAX8 Kit).
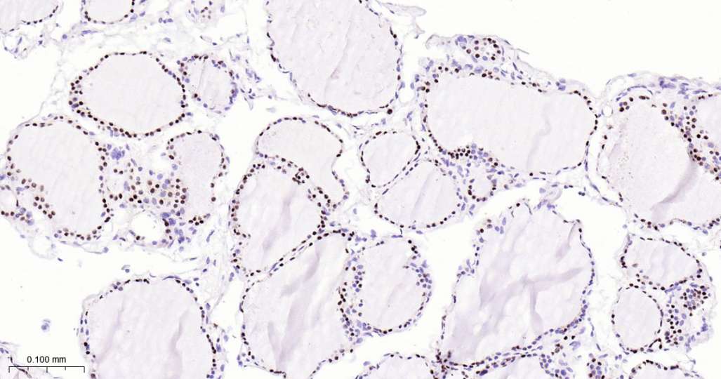
Immunohistochemical analysis of paraffin embedded Rat thyroid gland tissue slide using IHC0514 (PAX8 Kit).
版权所有 2004-2026 www.bioss.com.cn 北京博奥森生物技术有限公司
通过国际质量管理体系ISO 9001:2015 GB/T 19001-2016    证书编号: 00124Q34771R2M/1100
通过国际医疗器械-质量管理体系ISO 13485:2016 GB/T 42061-2022     证书编号: CQC24QY20047R0M/1100
京ICP备05066980号-1         京公网安备110107000727号