扫码关注公众号           扫码咨询技术支持           扫码咨询技术服务
  
客服热线:400-901-9800  客服QQ:4009019800  技术答疑  技术支持  质量反馈  人才招聘  关于我们  联系我们
产品中心-北京博奥森生物技术有限公司
首页 > 产品中心 > 试剂盒 > 产品信息
PLIN2 Ready-To-Use IHC Kit (IHC0536)  
订购热线:400-901-9800
订购邮箱:sales@bioss.com.cn
订购QQ:  400-901-9800
技术支持:techsupport@bioss.com.cn
50T/3200.00元
大包装/询价

产品编号 IHC0536
英文名称 PLIN2 Ready-To-Use IHC Kit
中文名称 脂肪分化相关蛋白即用型免疫组化试剂盒
别    名 AA407157; ADPH; ADFP; Adipophilin; Adipose differentiation related protein; Adipose differentiation-related protein; PLIN2; PLIN2_HUMAN; adipophilin; Adipose differentiation related protein; ADRP; MGC10598  
克 隆 号
适用样品基质 FFPE tissue
保存条件 Please store components at the temperatures indicated on the individual tube labels. The kit is stable for 6 months from the date of receipt.
产品介绍 Milk lipid globules from humans, cows and rats contain a protein identified as adipocyte differentiation-related protein (ADFP). It is associated with the globule surface membrane material. This protein, previously believed to be specific to adipocytes, is a major constituent of the globule surface and is present in a detergent-insoluble complex that contains butyrophilin and xanthine oxidase. ADFP (Adipophilin) is found in a wide range of cultured cell lines, including fibroblasts, endothelial and epithelial cells. In tissues, however, expression of adipophilin is restricted to specific cell types, such as lactating mammary epithelial cells, adrenal cortex cells, Sertoli and Leydig cells of the male reproductive system, and steatosis or fatty change hepatocytes in alcoholic liver cirrhosis. ADFP may be a possible new marker for the identification of specialized differentiated cells containing lipid droplets and for diseases associated with fat-accumulating cells.

SWISS:
Q99541

Gene ID:
123

产品图片
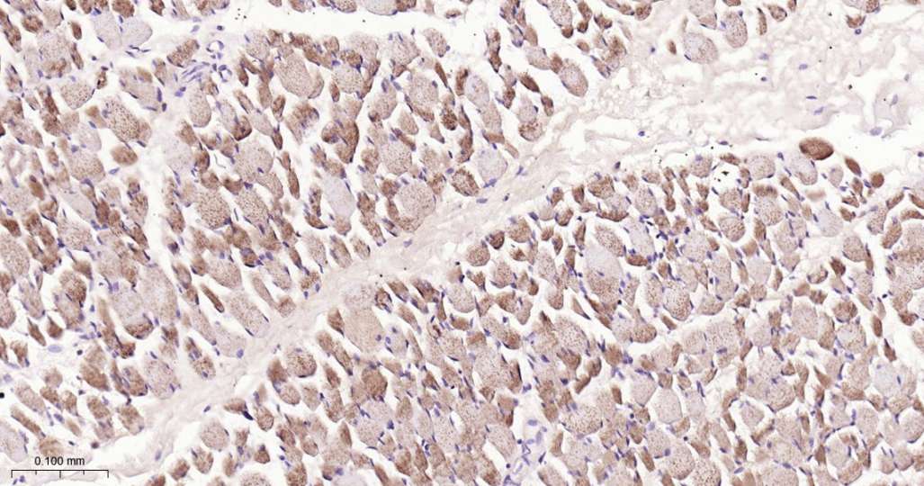
Immunohistochemical analysis of paraffin embedded Mouse skeletal muscle tissue slide using IHC0536 (PLIN2 Kit).
Immunohistochemical analysis of paraffin embedded Human skeletal muscle tissue slide using IHC0536 (PLIN2 Kit).
Immunohistochemical analysis of paraffin embedded Rat skeletal muscle tissue slide using IHC0536 (PLIN2 Kit).
版权所有 2004-2026 www.bioss.com.cn 北京博奥森生物技术有限公司
通过国际质量管理体系ISO 9001:2015 GB/T 19001-2016    证书编号: 00124Q34771R2M/1100
通过国际医疗器械-质量管理体系ISO 13485:2016 GB/T 42061-2022     证书编号: CQC24QY20047R0M/1100
京ICP备05066980号-1         京公网安备110107000727号