扫码关注公众号           扫码咨询技术支持           扫码咨询技术服务
  
客服热线:400-901-9800  客服QQ:4009019800  技术答疑  技术支持  质量反馈  人才招聘  关于我们  联系我们
产品中心-北京博奥森生物技术有限公司
首页 > 产品中心 > 试剂盒 > 产品信息
OCT2 Ready-To-Use IHC Kit (IHC0540)  
订购热线:400-901-9800
订购邮箱:sales@bioss.com.cn
订购QQ:  400-901-9800
技术支持:techsupport@bioss.com.cn
50T/3200.00元
大包装/询价

产品编号 IHC0540
英文名称 OCT2 Ready-To-Use IHC Kit
中文名称 阳离子转运蛋白2即用型免疫组化试剂盒
别    名 Oct-2; OCT2; OTF2; POU2F2; POU class 2 homeobox 2  
克 隆 号
适用样品基质 FFPE tissue
保存条件 Please store components at the temperatures indicated on the individual tube labels. The kit is stable for 6 months from the date of receipt.
产品介绍 OCT-2 is a transcription factor belonging to the POU homeo-domain family that binds to the Ig gene octamer sites regulating B cell specific genes. OCT-2 protein expression is not restricted to B cells, although expression levels are much higher in these cells. OCT-2 expression is reported to be significantly greater in germinal center derived lymphomas, although other B cell lymphomas also display high levels of expression.

SWISS:
P09086

Gene ID:
5452

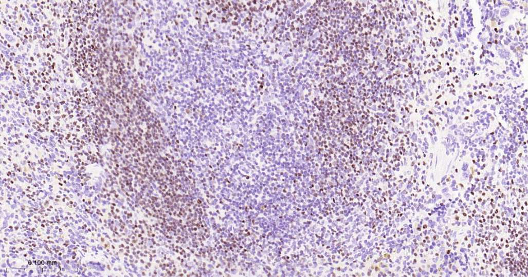
产品图片
Immunohistochemical analysis of paraffin embedded Mouse spleen tissue slide using IHC0540 (OCT2 Kit).
Immunohistochemical analysis of paraffin embedded Human tonsil tissue slide using IHC0540 (OCT2 Kit).
Immunohistochemical analysis of paraffin embedded Rat spleen tissue slide using IHC0540 (OCT2 Kit).
版权所有 2004-2026 www.bioss.com.cn 北京博奥森生物技术有限公司
通过国际质量管理体系ISO 9001:2015 GB/T 19001-2016    证书编号: 00124Q34771R2M/1100
通过国际医疗器械-质量管理体系ISO 13485:2016 GB/T 42061-2022     证书编号: CQC24QY20047R0M/1100
京ICP备05066980号-1         京公网安备110107000727号