扫码关注公众号           扫码咨询技术支持           扫码咨询技术服务
  
客服热线:400-901-9800  客服QQ:4009019800  技术答疑  技术支持  质量反馈  人才招聘  关于我们  联系我们
产品中心-北京博奥森生物技术有限公司
首页 > 产品中心 > 试剂盒 > 产品信息
Human Thymidylate synthase Ready-To-Use IHC Kit (IHC0545H)  
订购热线:400-901-9800
订购邮箱:sales@bioss.com.cn
订购QQ:  400-901-9800
技术支持:techsupport@bioss.com.cn
50T/3200.00元
大包装/询价

产品编号 IHC0545H
英文名称 Human Thymidylate synthase Ready-To-Use IHC Kit
中文名称 人胸苷酸合成酶即用型免疫组化试剂盒
别    名 HST422; OK/SW-cl.29; TMS; TS; TYMS  
克 隆 号
适用样品基质 FFPE tissue
保存条件 Please store components at the temperatures indicated on the individual tube labels. The kit is stable for 6 months from the date of receipt.
产品介绍 Thymidylate Synthase (TS) converts deoxyuridine monophosphate (dUMP) to deoxythymidine monophosphate (dTMP), which is essential for DNA biosynthesis. TS is a critical target for the fluoropyrimidines, an important group of antineoplastic drugs that are widely used in the treatment of solid tumors. Both 5-FU and fluorodeoxyuridine are converted in tumor cells to FdUMP which inactivates TS by formation of a ternary covalent complex in the presence of the folate cofactor 5,10-methylenetetrahydrofolate. Expression of TS protein is associated with response to 5-fluorouracil (5-FU) in human colorectal, gastric, head and neck, and breast carcinomas.

SWISS:
P04818

Gene ID:
7298

产品图片
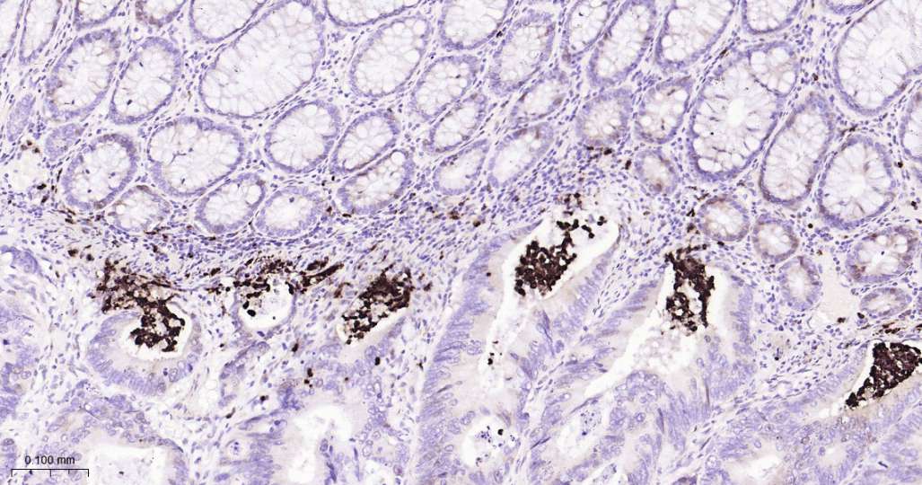
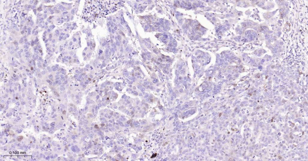
Immunohistochemical analysis of paraffin embedded Human gastric cancer tissue slide using IHC0545H (Human Thymidylate synthase Kit).
Immunohistochemical analysis of paraffin embedded Human ovarian cancer tissue slide using IHC0545H (Human Thymidylate synthase Kit).
Immunohistochemical analysis of paraffin embedded Human lymph nodes tissue slide using IHC0545H (Human Thymidylate synthase Kit).
Immunohistochemical analysis of paraffin embedded Human colon cancer tissue slide using IHC0545H (Human Thymidylate synthase Kit).
Immunohistochemical analysis of paraffin embedded Human tonsil tissue slide using IHC0545H (Human Thymidylate synthase Kit).
版权所有 2004-2026 www.bioss.com.cn 北京博奥森生物技术有限公司
通过国际质量管理体系ISO 9001:2015 GB/T 19001-2016    证书编号: 00124Q34771R2M/1100
通过国际医疗器械-质量管理体系ISO 13485:2016 GB/T 42061-2022     证书编号: CQC24QY20047R0M/1100
京ICP备05066980号-1         京公网安备110107000727号