扫码关注公众号           扫码咨询技术支持           扫码咨询技术服务
  
客服热线:400-901-9800  客服QQ:4009019800  技术答疑  技术支持  质量反馈  人才招聘  关于我们  联系我们
产品中心-北京博奥森生物技术有限公司
首页 > 产品中心 > 试剂盒 > 产品信息
Human GH1 Ready-To-Use IHC Kit (IHC0546H)  
订购热线:400-901-9800
订购邮箱:sales@bioss.com.cn
订购QQ:  400-901-9800
技术支持:techsupport@bioss.com.cn
50T/3200.00元
大包装/询价

产品编号 IHC0546H
英文名称 Human GH1 Ready-To-Use IHC Kit
中文名称 人生长激素即用型免疫组化试剂盒
别    名 GHB5; GH 1; GH; GH N; GH-N; GH1; GHN; Growth Hormone 1; Growth hormone 1 variant 1; Growth hormone 1 variant 2; Growth hormone; Growth Hormone Normal; Growth Hormone Pituitary; Growth hormone; normal; Growth hormone; pituitary; HG1;hGH N; hGH-N; HGHN; IGHD1B; Pituitary Growth Hormone; RNGHGP; SOMA_HUMAN; Somatotropin C; Somatotropin; Somatotropin I Precursor  
克 隆 号
适用样品基质 FFPE tissue
保存条件 Please store components at the temperatures indicated on the individual tube labels. The kit is stable for 6 months from the date of receipt.
产品介绍 Human growth hormone (hGH) is a member of the somatotropin/prolactin family of hormones which play an important role in growth control. The GH1 gene, along with 4 additional related genes, is located at the growth hormone locus on chromosome 17. The five genes share a remarkably high degree of sequence identity. Alternative splicing results in 5 isoforms ranging from approximately 19 kDa to 24 kDa. HGH is produced by the somatotroph cells in the pituitary. It acts through binding to membrane receptors that belong to the cytokine receptor subfamily. Its major role in stimulating body growth is to stimulate the liver and other tissues to secrete IGF-1. It stimulates both the differentiation and proliferation of myoblasts. It also stimulates amino acid uptake and protein synthesis in muscle and other tissues. Mutations or deletions in the gene lead to growth hormone deficiency and short stature.

SWISS:
P01241

Gene ID:
2688

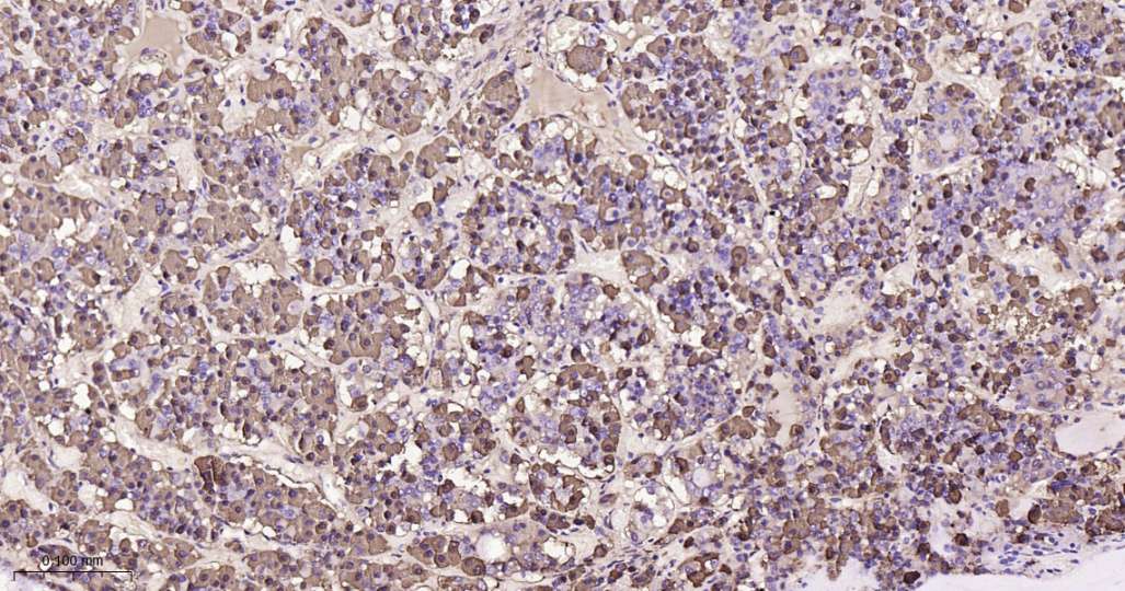
产品图片
Immunohistochemical analysis of paraffin embedded Human placenta tissue slide using IHC0546H (Human GH1 Kit).
Immunohistochemical analysis of paraffin embedded Human pituitary gland tissue slide using IHC0546H (Human GH1 Kit).
版权所有 2004-2026 www.bioss.com.cn 北京博奥森生物技术有限公司
通过国际质量管理体系ISO 9001:2015 GB/T 19001-2016    证书编号: 00124Q34771R2M/1100
通过国际医疗器械-质量管理体系ISO 13485:2016 GB/T 42061-2022     证书编号: CQC24QY20047R0M/1100
京ICP备05066980号-1         京公网安备110107000727号