扫码关注公众号           扫码咨询技术支持           扫码咨询技术服务
  
客服热线:400-901-9800  客服QQ:4009019800  技术答疑  技术支持  质量反馈  人才招聘  关于我们  联系我们
产品中心-北京博奥森生物技术有限公司
首页 > 产品中心 > 试剂盒 > 产品信息
Rat Dnmt1 Ready-To-Use IHC Kit (IHC0552R)  
订购热线:400-901-9800
订购邮箱:sales@bioss.com.cn
订购QQ:  400-901-9800
技术支持:techsupport@bioss.com.cn
50T/3200.00元
大包装/询价

产品编号 IHC0552R
英文名称 Rat Dnmt1 Ready-To-Use IHC Kit
中文名称 大鼠DNA甲基转移酶1即用型免疫组化试剂盒
别    名 ADCADN; AIM; CXXC9; DNMT; DNMT1; Dnmt1o; HSN1E; m.HsaI; m.MmuI; MCMT; Met-1; Met1; MommeD2; MTase; Uim  
克 隆 号
适用样品基质 FFPE tissue
保存条件 Please store components at the temperatures indicated on the individual tube labels. The kit is stable for 6 months from the date of receipt.
产品介绍 This gene encodes a subunit of the augmin complex, which regulates centrosome and mitotic spindle integrity, and is necessary for the completion of cytokinesis. The encoded protein was identified by interaction with ubiquitin C-terminal hydrolase 37. Alternative splicing results in multiple transcript variants.

SWISS:
P26358

Gene ID:
1786

产品图片
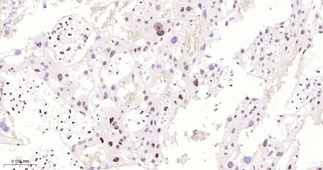
Immunohistochemical analysis of paraffin embedded Rat placenta tissue slide using IHC0552R (Rat Dnmt1 Kit).
版权所有 2004-2026 www.bioss.com.cn 北京博奥森生物技术有限公司
通过国际质量管理体系ISO 9001:2015 GB/T 19001-2016    证书编号: 00124Q34771R2M/1100
通过国际医疗器械-质量管理体系ISO 13485:2016 GB/T 42061-2022     证书编号: CQC24QY20047R0M/1100
京ICP备05066980号-1         京公网安备110107000727号