扫码关注公众号           扫码咨询技术支持           扫码咨询技术服务
  
客服热线:400-901-9800  客服QQ:4009019800  技术答疑  技术支持  质量反馈  人才招聘  关于我们  联系我们
产品中心-北京博奥森生物技术有限公司
首页 > 产品中心 > 试剂盒 > 产品信息
Human Hsp10 Ready-To-Use IHC Kit (IHC0559H)  
订购热线:400-901-9800
订购邮箱:sales@bioss.com.cn
订购QQ:  400-901-9800
技术支持:techsupport@bioss.com.cn
50T/3200.00元
大包装/询价

产品编号 IHC0559H
英文名称 Human Hsp10 Ready-To-Use IHC Kit
中文名称 人热休克蛋白10/HSPE1即用型免疫组化试剂盒
别    名 10kDa; HSP10; mt-cpn10; mitochondrial; 10 kDa chaperonin; 10 kDa heat shock protein; 10 kDa heat shock protein mitochondrial; CH10_HUMAN; Chaperonin 10; Cpn 10; CPN10; Early pregnancy factor; Early-pregnancy factor; EPF; GROES; Heat shock 10kD protein 1; Heat shock 10kD protein 1 chaperonin 10; Heat shock 10kDa protein 1 antibody; Heat shock 10kDa protein 1 chaperonin 10; HSP 10; HSP-10; HSPE 1; HSPE1  
克 隆 号
适用样品基质 FFPE tissue
保存条件 Please store components at the temperatures indicated on the individual tube labels. The kit is stable for 6 months from the date of receipt.
产品介绍 The heat shock proteins (HSPs) comprise a group of highly conserved, abundantly expressed proteins with diverse functions, including the assembly and sequestering of multiprotein complexes, transportation of nascent polypeptide chains across cellular membranes and regulation of protein folding. Heat shock proteins (also known as molecular chaperones) fall into six general families: HSP 90, HSP 70, HSP 60, the low molecular weight HSPs, the immunophilins and the HSP 110 family. The low molecular weight family includes HSP 10, HSP 20, HSP 27 (Heme Oxygenase 1), HSP 32 and HSP 40. Chaperonins are ubiquitous, indispensable proteins that facilitate protein folding in an ATP-dependent manner, enhancing the yield of properly folded substrate protein under conditions where spontaneous folding does not occur. Chaperonins are typified by the E. coli heat-shock proteins GroEL and GroES (HSP 10). HSP 10 is a heptameric ring of identical 10 kDa subunits that binds to each end of GroEL to form a symmetric, functional heterodimer.

产品图片
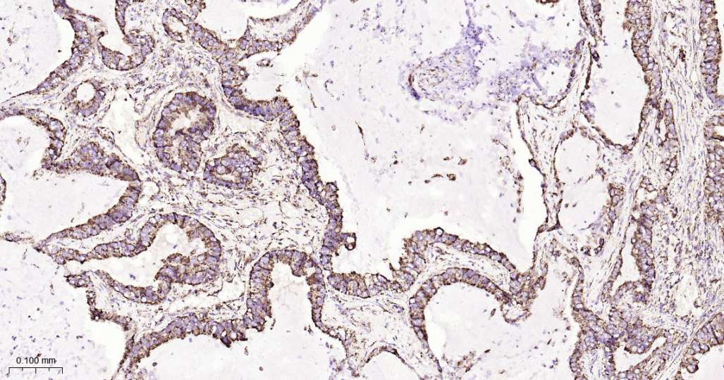
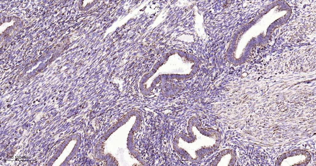
Immunohistochemical analysis of paraffin embedded Human uterus tissue slide using IHC0559H (Human Hsp10 Kit).
Immunohistochemical analysis of paraffin embedded Human stomach tissue slide using IHC0559H (Human Hsp10 Kit).
Immunohistochemical analysis of paraffin embedded Human colon cancer tissue slide using IHC0559H (Human Hsp10 Kit).
Immunohistochemical analysis of paraffin embedded Human lung cancer tissue slide using IHC0559H (Human Hsp10 Kit).
版权所有 2004-2026 www.bioss.com.cn 北京博奥森生物技术有限公司
通过国际质量管理体系ISO 9001:2015 GB/T 19001-2016    证书编号: 00124Q34771R2M/1100
通过国际医疗器械-质量管理体系ISO 13485:2016 GB/T 42061-2022     证书编号: CQC24QY20047R0M/1100
京ICP备05066980号-1         京公网安备110107000727号