扫码关注公众号           扫码咨询技术支持           扫码咨询技术服务
  
客服热线:400-901-9800  客服QQ:4009019800  技术答疑  技术支持  质量反馈  人才招聘  关于我们  联系我们
产品中心-北京博奥森生物技术有限公司
首页 > 产品中心 > 试剂盒 > 产品信息
Human ULK3 Ready-To-Use IHC Kit (IHC0562H)  
订购热线:400-901-9800
订购邮箱:sales@bioss.com.cn
订购QQ:  400-901-9800
技术支持:techsupport@bioss.com.cn
50T/3200.00元
大包装/询价

产品编号 IHC0562H
英文名称 Human ULK3 Ready-To-Use IHC Kit
中文名称 人ULK3即用型免疫组化试剂盒
别    名 1200015E14Rik; ULK3; DKFZP434C131; FLJ90566; Serine/threonine-protein kinase ULK3; ULK3_HUMAN; unc 51 like kinase 3 (C. elegans); Unc-51-like kinase 3  
克 隆 号
适用样品基质 FFPE tissue
保存条件 Please store components at the temperatures indicated on the individual tube labels. The kit is stable for 6 months from the date of receipt.
产品介绍 ULK3 or unc-51-like kinase 3 is a member of the serine/threonine kinase family that is involved in the SHH signaling pathway as a positive regulator of GLI proteins. ULK3 enhances endogenous and over-expressed GLI transcriptional activity in cultured cells and alters its subcellular localization. Furthermore, ULK3 phosphorylates GLI proteins in vitro. ULK3 is widely expressed and its expression is higher in a number of tissues where SHH signaling is known to be active, again suggesting that ULK3 is involved in the SHH pathway as a positive regulator of GLI proteins.

SWISS:
Q6PHR2

Gene ID:
25989

产品图片
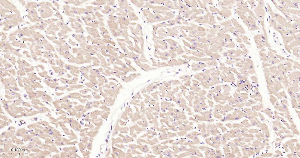
Immunohistochemical analysis of paraffin embedded Human heart tissue slide using IHC0562H (Human ULK3 Kit).
Immunohistochemical analysis of paraffin embedded Human kidney tissue slide using IHC0562H (Human ULK3 Kit).
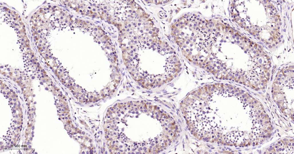
Immunohistochemical analysis of paraffin embedded Human testis tissue slide using IHC0562H (Human ULK3 Kit).
版权所有 2004-2026 www.bioss.com.cn 北京博奥森生物技术有限公司
通过国际质量管理体系ISO 9001:2015 GB/T 19001-2016    证书编号: 00124Q34771R2M/1100
通过国际医疗器械-质量管理体系ISO 13485:2016 GB/T 42061-2022     证书编号: CQC24QY20047R0M/1100
京ICP备05066980号-1         京公网安备110107000727号