扫码关注公众号           扫码咨询技术支持           扫码咨询技术服务
  
客服热线:400-901-9800  客服QQ:4009019800  技术答疑  技术支持  质量反馈  人才招聘  关于我们  联系我们
产品中心-北京博奥森生物技术有限公司
首页 > 产品中心 > 试剂盒 > 产品信息
Human Trefoil factor 1 Ready-To-Use IHC Kit (IHC0571H)  
订购热线:400-901-9800
订购邮箱:sales@bioss.com.cn
订购QQ:  400-901-9800
技术支持:techsupport@bioss.com.cn
50T/3200.00元
大包装/询价

产品编号 IHC0571H
英文名称 Human Trefoil factor 1 Ready-To-Use IHC Kit
中文名称 人乳腺癌雌激素诱导蛋白即用型免疫组化试剂盒
别    名 HP1.A; pNR-2; PS2; BCEI; Breast cancer estrogen inducible protein; Breast cancer estrogen inducible sequence; Breast cancer estrogen-inducible protein; D21S21; Gastrointestinal trefoil protein; Gastrointestinal trefoil protein pS2; hP1.A; HP1A; HPS 2; HPS2; pNR 2; PNR-2; pNR2; Polypeptide P1.A; Protein pS2; PS 2; pS2; pS2 protein; TFF 1; TFF1; TFF1_HUMAN; Trefoil factor 1  
克 隆 号
适用样品基质 FFPE tissue
保存条件 Please store components at the temperatures indicated on the individual tube labels. The kit is stable for 6 months from the date of receipt.
产品介绍 Members of the trefoil family are characterized by having at least one copy of the trefoil motif, a 40-amino acid domain that contains three conserved disulfides. They are stable secretory proteins expressed in gastrointestinal mucosa. Their functions are not defined, but they may protect the mucosa from insults, stabilize the mucus layer, and affect healing of the epithelium. This gene, which is expressed in the gastric mucosa, has also been studied because of its expression in human tumors. This gene and two other related trefoil family member genes are found in a cluster on chromosome 21.

SWISS:
P04155

Gene ID:
7031

产品图片
Immunohistochemical analysis of paraffin embedded Human breast cancer tissue slide using IHC0571H (Human Trefoil factor 1 Kit).
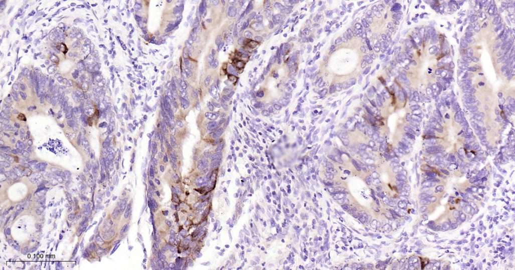
Immunohistochemical analysis of paraffin embedded Human colon cancer tissue slide using IHC0571H (Human Trefoil factor 1 Kit).
Immunohistochemical analysis of paraffin embedded Human lung cancer tissue slide using IHC0571H (Human Trefoil factor 1 Kit).
版权所有 2004-2026 www.bioss.com.cn 北京博奥森生物技术有限公司
通过国际质量管理体系ISO 9001:2015 GB/T 19001-2016    证书编号: 00124Q34771R2M/1100
通过国际医疗器械-质量管理体系ISO 13485:2016 GB/T 42061-2022     证书编号: CQC24QY20047R0M/1100
京ICP备05066980号-1         京公网安备110107000727号