扫码关注公众号           扫码咨询技术支持           扫码咨询技术服务
  
客服热线:400-901-9800  客服QQ:4009019800  技术答疑  技术支持  质量反馈  人才招聘  关于我们  联系我们
产品中心-北京博奥森生物技术有限公司
首页 > 产品中心 > 试剂盒 > 产品信息
Mouse FOXA1 Ready-To-Use IHC Kit (IHC0572M)  
订购热线:400-901-9800
订购邮箱:sales@bioss.com.cn
订购QQ:  400-901-9800
技术支持:techsupport@bioss.com.cn
50T/3200.00元
大包装/询价

产品编号 IHC0572M
英文名称 Mouse FOXA1 Ready-To-Use IHC Kit
中文名称 小鼠转录因子HNF-3α/FOXA1即用型免疫组化试剂盒
别    名 FOXA1; HNF3A; TCF3A; forkhead box A1; Forkhead box protein A1; FOX A1; FOXA1_HUMAN; hepatocyte nuclear factor 3 alpha; Hepatocyte nuclear factor 3-alpha; HNF 3A; HNF-3-alpha; HNF-3A; MGC33105; TCF 3A; TCF-3A; Transcription factor 3A  
克 隆 号
适用样品基质 FFPE tissue
保存条件 Please store components at the temperatures indicated on the individual tube labels. The kit is stable for 6 months from the date of receipt.
产品介绍 This gene encodes a member of the forkhead class of DNA-binding proteins. These hepatocyte nuclear factors are transcriptional activators for liver-specific transcripts such as albumin and transthyretin, and they also interact with chromatin. Similar family members in mice have roles in the regulation of metabolism and in the differentiation of the pancreas and liver.

SWISS:
P55317

Gene ID:
3169

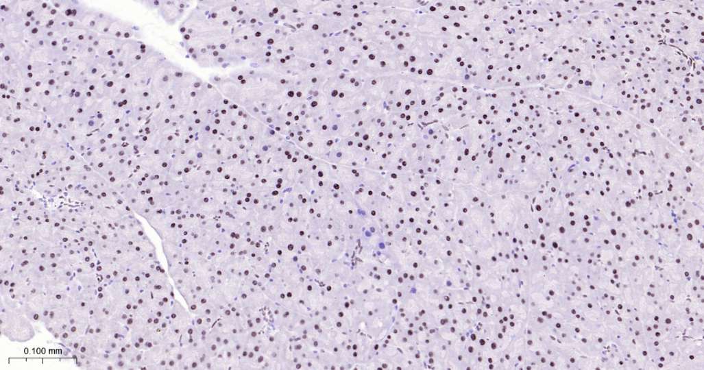
产品图片
Immunohistochemical analysis of paraffin embedded Mouse pancreas tissue slide using IHC0572M (Mouse FOXA1 Kit).
版权所有 2004-2026 www.bioss.com.cn 北京博奥森生物技术有限公司
通过国际质量管理体系ISO 9001:2015 GB/T 19001-2016    证书编号: 00124Q34771R2M/1100
通过国际医疗器械-质量管理体系ISO 13485:2016 GB/T 42061-2022     证书编号: CQC24QY20047R0M/1100
京ICP备05066980号-1         京公网安备110107000727号