扫码关注公众号           扫码咨询技术支持           扫码咨询技术服务
  
客服热线:400-901-9800  客服QQ:4009019800  技术答疑  技术支持  质量反馈  人才招聘  关于我们  联系我们
产品中心-北京博奥森生物技术有限公司
首页 > 产品中心 > 试剂盒 > 产品信息
Rat Myogenin Ready-To-Use IHC Kit (IHC0575R)  
订购热线:400-901-9800
订购邮箱:sales@bioss.com.cn
订购QQ:  400-901-9800
技术支持:techsupport@bioss.com.cn
50T/3200.00元
大包装/询价

产品编号 IHC0575R
英文名称 Rat Myogenin Ready-To-Use IHC Kit
中文名称 大鼠肌细胞生成素即用型免疫组化试剂盒
别    名 BHLHC3; myf-4; myo; MYOG; bHLHc3; cb553; MYF 4; MYF4; Myf-4; MYOG; Myogenic factor 4; Myogenic factor 4 myogenin; MYOGENIN; Myogenin myogenin factor 4  
克 隆 号
适用样品基质 FFPE tissue
保存条件 Please store components at the temperatures indicated on the individual tube labels. The kit is stable for 6 months from the date of receipt.
产品介绍 Myogenin is a muscle-specific transcription factor that can induce myogenesis in a variety of cell types in tissue culture. It is a member of a large family of proteins related by sequence homology, the helix-loop-helix proteins. It is essential for the development of functional skeletal muscle.

SWISS:
P15173

Gene ID:
4656

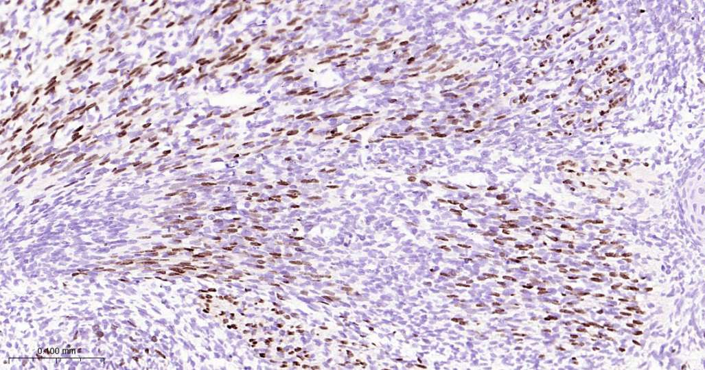
产品图片
Immunohistochemical analysis of paraffin embedded Rat embryo tissue slide using IHC0575R (Rat Myogenin Kit).
版权所有 2004-2026 www.bioss.com.cn 北京博奥森生物技术有限公司
通过国际质量管理体系ISO 9001:2015 GB/T 19001-2016    证书编号: 00124Q34771R2M/1100
通过国际医疗器械-质量管理体系ISO 13485:2016 GB/T 42061-2022     证书编号: CQC24QY20047R0M/1100
京ICP备05066980号-1         京公网安备110107000727号