扫码关注公众号           扫码咨询技术支持           扫码咨询技术服务
  
客服热线:400-901-9800  客服QQ:4009019800  技术答疑  技术支持  质量反馈  人才招聘  关于我们  联系我们
产品中心-北京博奥森生物技术有限公司
首页 > 产品中心 > 试剂盒 > 产品信息
Cadherin 16 Ready-To-Use IHC Kit (IHC0577)  
订购热线:400-901-9800
订购邮箱:sales@bioss.com.cn
订购QQ:  400-901-9800
技术支持:techsupport@bioss.com.cn
50T/3200.00元
大包装/询价

产品编号 IHC0577
英文名称 Cadherin 16 Ready-To-Use IHC Kit
中文名称 钙粘蛋白16即用型免疫组化试剂盒
别    名 CDH16; UNQ695/PRO1340  
克 隆 号
适用样品基质 FFPE tissue
保存条件 Please store components at the temperatures indicated on the individual tube labels. The kit is stable for 6 months from the date of receipt.
产品介绍 The cadherins are a family of Ca2+-dependent adhesion molecules that function to mediate cell-cell binding critical to the maintenance of structure and morphogenesis. Cadherins each contain a large extracellular domain at the N-terminus, which is characterized by a series of five homologous repeats, the most distal of which is thought to be responsible for binding specificity. Cadherin-16, also known as Ksp-Cadherin, is a type I membrane protein which is kidney-specific. Cadherin-16 is expressed exclusively in the basolateral membrane of renal tubular epithelial cells. The human Ksp-cadherin gene (Cadherin-16) maps to chromosome 16q21-proximal 16q22. The mouse Ksp-cadherin gene was localized to a highly syntenic region of distal Chromosome 8.

SWISS:
O75309

Gene ID:
1014

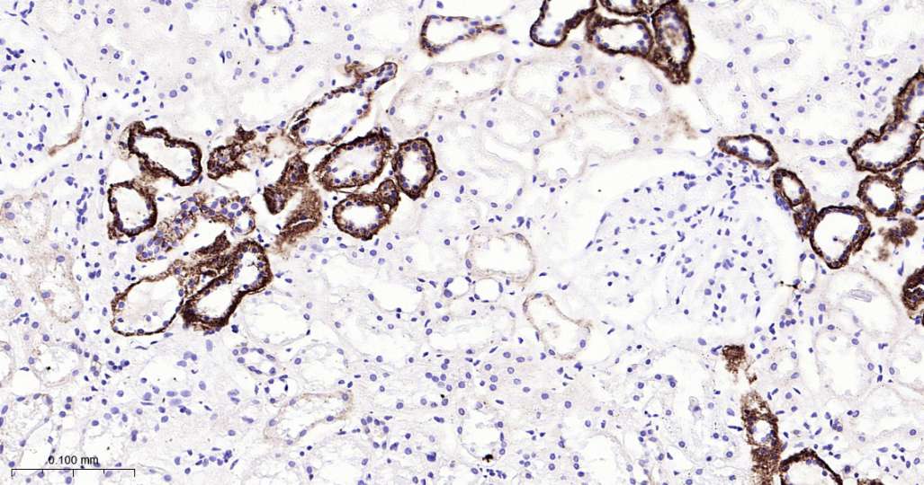
产品图片
Immunohistochemical analysis of paraffin embedded Mouse kidney tissue slide using IHC0577 (Cadherin 16 Kit).
Immunohistochemical analysis of paraffin embedded Human kidney tissue slide using IHC0577 (Cadherin 16 Kit).
版权所有 2004-2026 www.bioss.com.cn 北京博奥森生物技术有限公司
通过国际质量管理体系ISO 9001:2015 GB/T 19001-2016    证书编号: 00124Q34771R2M/1100
通过国际医疗器械-质量管理体系ISO 13485:2016 GB/T 42061-2022     证书编号: CQC24QY20047R0M/1100
京ICP备05066980号-1         京公网安备110107000727号