扫码关注公众号           扫码咨询技术支持           扫码咨询技术服务
  
客服热线:400-901-9800  客服QQ:4009019800  技术答疑  技术支持  质量反馈  人才招聘  关于我们  联系我们
产品中心-北京博奥森生物技术有限公司
首页 > 产品中心 > 试剂盒 > 产品信息
Human NME1/NM23A Ready-To-Use IHC Kit (IHC0578H)  
订购热线:400-901-9800
订购邮箱:sales@bioss.com.cn
订购QQ:  400-901-9800
技术支持:techsupport@bioss.com.cn
50T/3200.00元
大包装/询价

产品编号 IHC0578H
英文名称 Human NME1/NM23A Ready-To-Use IHC Kit
中文名称 人肿瘤转移抑制基因即用型免疫组化试剂盒
别    名 AL024257; AWD; GAAD; NB; NBS; NDKA; NDPK-A; NDPKA; NM23; NM23-H1; NM23-M1; NM23A; NME1  
克 隆 号
适用样品基质 FFPE tissue
保存条件 Please store components at the temperatures indicated on the individual tube labels. The kit is stable for 6 months from the date of receipt.
产品介绍 NME1 was identified because of its reduced mRNA transcript levels in highly metastatic cells. Nucleoside diphosphate kinase (NDK) exists as a hexamer composed of 'A' (encoded by this gene) and 'B' (encoded by NME2) isoforms. Mutations in the gene have been identified in aggressive neuroblastomas. Two transcript variants encoding different isoforms have been found for this gene. Co-transcription of this gene and the neighboring downstream gene (NME2) generates naturally-occurring transcripts (NME1-NME2), which encodes a fusion protein comprised of sequence sharing identity with each individual gene product.

SWISS:
P15531

Gene ID:
4830

产品图片
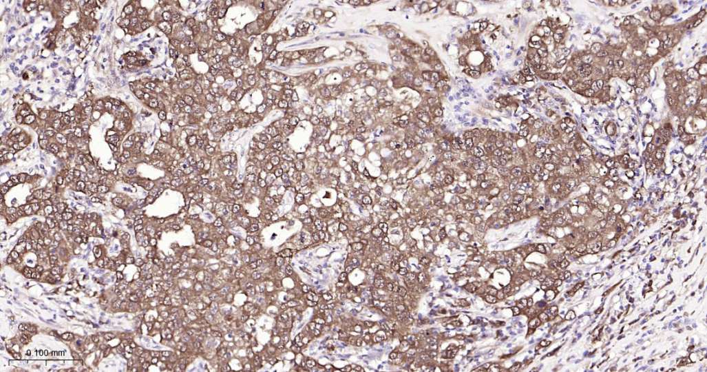
Immunohistochemical analysis of paraffin embedded Human breast cancer tissue slide using IHC0578H (Human NME1/NM23A Kit).
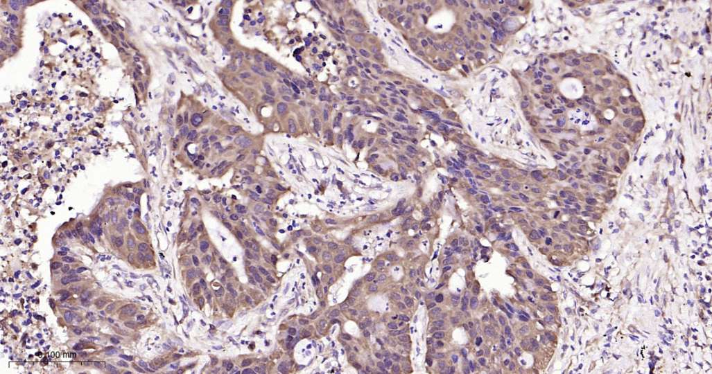
Immunohistochemical analysis of paraffin embedded Human hepatocellular carcinoma tissue slide using IHC0578H (Human NME1/NM23A Kit).
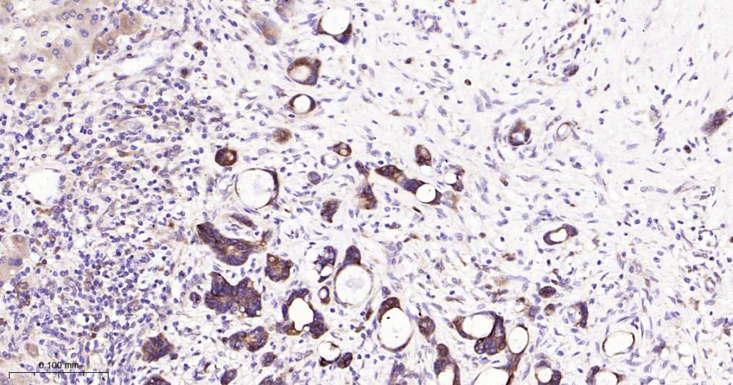
Immunohistochemical analysis of paraffin embedded Human lung cancer tissue slide using IHC0578H (Human NME1/NM23A Kit).
版权所有 2004-2026 www.bioss.com.cn 北京博奥森生物技术有限公司
通过国际质量管理体系ISO 9001:2015 GB/T 19001-2016    证书编号: 00124Q34771R2M/1100
通过国际医疗器械-质量管理体系ISO 13485:2016 GB/T 42061-2022     证书编号: CQC24QY20047R0M/1100
京ICP备05066980号-1         京公网安备110107000727号