扫码关注公众号           扫码咨询技术支持           扫码咨询技术服务
  
客服热线:400-901-9800  客服QQ:4009019800  技术答疑  技术支持  质量反馈  人才招聘  关于我们  联系我们
产品中心-北京博奥森生物技术有限公司
首页 > 产品中心 > 试剂盒 > 产品信息
LRP/MVP Ready-To-Use IHC Kit (IHC0580)  
订购热线:400-901-9800
订购邮箱:sales@bioss.com.cn
订购QQ:  400-901-9800
技术支持:techsupport@bioss.com.cn
50T/3200.00元
大包装/询价

产品编号 IHC0580
英文名称 LRP/MVP Ready-To-Use IHC Kit
中文名称 肺耐药相关蛋白即用型免疫组化试剂盒
别    名 LRP; MVP; VAULT1; 2310009M24Rik; Lung Resistance Related Protein  
克 隆 号
适用样品基质 FFPE tissue
保存条件 Please store components at the temperatures indicated on the individual tube labels. The kit is stable for 6 months from the date of receipt.
产品介绍 This gene encodes the major vault protein which is a lung resistance-related protein. Vaults are multi-subunit structures that may be involved in nucleo-cytoplasmic transport. This protein mediates drug resistance, perhaps via a transport process. It is widely distributed in normal tissues, and overexpressed in multidrug-resistant cancer cells. The protein overexpression is a potentially useful marker of clinical drug resistance. This gene produces two transcripts by using two alternative exon 2 sequences; however, the open reading frames are the same in both transcripts.

SWISS:
Q14764

Gene ID:
9961

产品图片
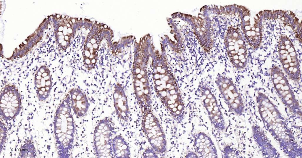
Immunohistochemical analysis of paraffin embedded Mouse colon tissue slide using IHC0580 (LRP/MVP Kit).
Immunohistochemical analysis of paraffin embedded Human colon cancer tissue slide using IHC0580 (LRP/MVP Kit).
Immunohistochemical analysis of paraffin embedded Human colon tissue slide using IHC0580 (LRP/MVP Kit).
Immunohistochemical analysis of paraffin embedded Rat colon tissue slide using IHC0580 (LRP/MVP Kit).
版权所有 2004-2026 www.bioss.com.cn 北京博奥森生物技术有限公司
通过国际质量管理体系ISO 9001:2015 GB/T 19001-2016    证书编号: 00124Q34771R2M/1100
通过国际医疗器械-质量管理体系ISO 13485:2016 GB/T 42061-2022     证书编号: CQC24QY20047R0M/1100
京ICP备05066980号-1         京公网安备110107000727号