扫码关注公众号           扫码咨询技术支持           扫码咨询技术服务
  
客服热线:400-901-9800  客服QQ:4009019800  技术答疑  技术支持  质量反馈  人才招聘  关于我们  联系我们
产品中心-北京博奥森生物技术有限公司
首页 > 产品中心 > 试剂盒 > 产品信息
MEF2A/MEF2C Ready-To-Use IHC Kit (IHC0581)  
订购热线:400-901-9800
订购邮箱:sales@bioss.com.cn
订购QQ:  400-901-9800
技术支持:techsupport@bioss.com.cn
50T/3200.00元
大包装/询价

产品编号 IHC0581
英文名称 MEF2A/MEF2C Ready-To-Use IHC Kit
中文名称 肌细胞增强因子2A/2C即用型免疫组化试剂盒
别    名 5430401D19Rik; 9930028G15Rik; AV011172; C5DELq14.3; DEL5q14.3; Mef2; MEF2C; MEF2C (phospho S396); p-MEF2C (phospho S396); MEF2C (phospho S396); MADS box transcription enhancer factor 2 polypeptide C (myocyte enhancer factor 2C); Myocyte enhancer factor 2C; Myocyte specific enhancer factor 2C; Similar to MADS box transcription enhancer factor 2 polypeptide C; MEF2C_HUMAN  
克 隆 号
适用样品基质 FFPE tissue
保存条件 Please store components at the temperatures indicated on the individual tube labels. The kit is stable for 6 months from the date of receipt.
产品介绍 MEF2C is a transcription activator which binds specifically to the MEF2 element present in the regulatory regions of many muscle-specific genes. Controls cardiac morphogenesis and myogenesis, and is also involved in vascular development. Plays an essential role in hippocampal-dependent learning and memory by suppressing the number of excitatory synapses and thus regulating basal and evoked synaptic transmission. Crucial for normal neuronal development, distribution, and electrical activity in the neocortex. Necessary for proper development of megakaryocytes and platelets and for bone marrow B lymphopoiesis. Required for B-cell survival and proliferation in response to BCR stimulation, efficient IgG1 antibody responses to T-cell-dependent antigens and for normal induction of germinal center B cells. May also be involved in neurogenesis and in the development of cortical architecture. Isoform 3 and isoform 4, which lack the repressor domain, are more active than isoform 1 and isoform 2.

SWISS:
Q06413

Gene ID:
4208

产品图片
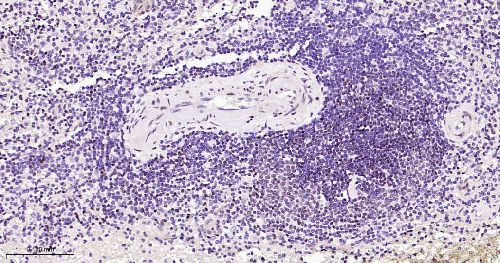
Immunohistochemical analysis of paraffin embedded Mouse spleen tissue slide using IHC0581 (MEF2A/MEF2C Kit).
Immunohistochemical analysis of paraffin embedded Human spleen tissue slide using IHC0581 (MEF2A/MEF2C Kit).
Immunohistochemical analysis of paraffin embedded Rat spleen tissue slide using IHC0581 (MEF2A/MEF2C Kit).
版权所有 2004-2026 www.bioss.com.cn 北京博奥森生物技术有限公司
通过国际质量管理体系ISO 9001:2015 GB/T 19001-2016    证书编号: 00124Q34771R2M/1100
通过国际医疗器械-质量管理体系ISO 13485:2016 GB/T 42061-2022     证书编号: CQC24QY20047R0M/1100
京ICP备05066980号-1         京公网安备110107000727号