扫码关注公众号           扫码咨询技术支持           扫码咨询技术服务
  
客服热线:400-901-9800  客服QQ:4009019800  技术答疑  技术支持  质量反馈  人才招聘  关于我们  联系我们
产品中心-北京博奥森生物技术有限公司
首页 > 产品中心 > 试剂盒 > 产品信息
GCS beta 1 Ready-To-Use IHC Kit (IHC0587)  
订购热线:400-901-9800
订购邮箱:sales@bioss.com.cn
订购QQ:  400-901-9800
技术支持:techsupport@bioss.com.cn
50T/3200.00元
大包装/询价

产品编号 IHC0587
英文名称 GCS beta 1 Ready-To-Use IHC Kit
中文名称 鸟苷酸环化酶β1即用型免疫组化试剂盒
别    名 GC-S-beta-1; GC-SB3; GCbeta1; GUC1B3; GUCB3; GUCSB3; GUCY1B1; GUCY1B3; SGC; GCS-beta-1; GCS-beta-3  
克 隆 号
适用样品基质 FFPE tissue
保存条件 Please store components at the temperatures indicated on the individual tube labels. The kit is stable for 6 months from the date of receipt.
产品介绍 Guanylate cyclases belong to the adenylyl cyclase class-4/guanylyl cyclase family. There are two forms of guanylate cyclase, a soluble form (GCS or sGC), which act as receptors for nitric oxide and a membrane-bound receptor form (GC), which are peptide hormone receptors. The GC-C protein is composed of an extracellular domain, a single transmembrane domain, and a cytoplasmic region consisting of a kinase-like domain and a catalytic domain. It is expressed as two differentially glycosylated forms, a 130 kDa precursor form present in the endoplasmic reticulum and a 145 kDa form present on the plasma membrane. Ligand binding to the extracellular domain of GC-C promotes the accumulation of cGMP. GC-C acts as the receptor for heatstable enterotoxins, small peptides secreted by some pathogenic strains of E. coli that cause severe secretory diarrhea. GC-C also binds to guanylin and uroguanylin peptides, which modulate renal function in response to oral salt load.

SWISS:
Q02153

Gene ID:
2983

产品图片
Immunohistochemical analysis of paraffin embedded Mouse brain tissue slide using IHC0587 (GCS beta 1 Kit).
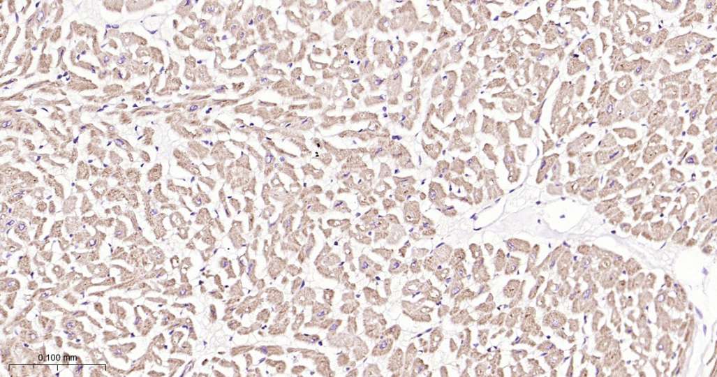
Immunohistochemical analysis of paraffin embedded Human heart tissue slide using IHC0587 (GCS beta 1 Kit).
Immunohistochemical analysis of paraffin embedded Human brain tissue slide using IHC0587 (GCS beta 1 Kit).
Immunohistochemical analysis of paraffin embedded Rat brain tissue slide using IHC0587 (GCS beta 1 Kit).
版权所有 2004-2026 www.bioss.com.cn 北京博奥森生物技术有限公司
通过国际质量管理体系ISO 9001:2015 GB/T 19001-2016    证书编号: 00124Q34771R2M/1100
通过国际医疗器械-质量管理体系ISO 13485:2016 GB/T 42061-2022     证书编号: CQC24QY20047R0M/1100
京ICP备05066980号-1         京公网安备110107000727号