扫码关注公众号           扫码咨询技术支持           扫码咨询技术服务
  
客服热线:400-901-9800  客服QQ:4009019800  技术答疑  技术支持  质量反馈  人才招聘  关于我们  联系我们
产品中心-北京博奥森生物技术有限公司
首页 > 产品中心 > 试剂盒 > 产品信息
Human Cytokeratin 6 Ready-To-Use IHC Kit (IHC0588H)  
订购热线:400-901-9800
订购邮箱:sales@bioss.com.cn
订购QQ:  400-901-9800
技术支持:techsupport@bioss.com.cn
50T/3200.00元
大包装/询价

产品编号 IHC0588H
英文名称 Human Cytokeratin 6 Ready-To-Use IHC Kit
中文名称 人细胞角蛋白6即用型免疫组化试剂盒
别    名 CK-6B; CK-6C; CK-6E; CK6A; CK6B; CK6C; CK6D; K6A; K6B; K6C; K6D; K6E; KRT6A; KRT6B; KRT6C; KRT6D; KRT6E; KRTL1; PC2; PC3; PC4; PPKNEFD Cytokeratin 6; Keratin; type II cytoskeletal 6A; Cytokeratin-6A (CK-6A); Cytokeratin-6D (CK-6D); Keratin-6A (K6A); Type-II keratin Kb6  
克 隆 号
适用样品基质 FFPE tissue
保存条件 Please store components at the temperatures indicated on the individual tube labels. The kit is stable for 6 months from the date of receipt.
产品介绍 Keratins 6 and 16 are expressed in keratinocytes, which are undergoing rapid turnover in the suprabasal region (also known as hyperproliferation-related keratins). Keratin 6 is found in hair follicles, suprabasal cells of a variety of internal stratified epithelia, in epidermis, in both normal and hyperproliferative situations. Epidermal injury results in activation of keratinocytes which express CK6 and CK16. CK6 is strongly expressed in about 75% of head and neck squamous cell carcinomas. Expression of CK6 is particularly associated with differentiation.

SWISS:
P48668

Gene ID:
286887

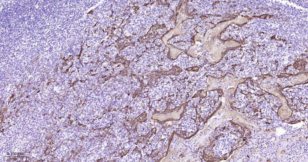
产品图片
Immunohistochemical analysis of paraffin embedded Human esophagus tissue slide using IHC0588H (Human Cytokeratin 6 Kit).
Immunohistochemical analysis of paraffin embedded Human cervical cancer tissue slide using IHC0588H (Human Cytokeratin 6 Kit).
Immunohistochemical analysis of paraffin embedded Human lung squamous cell carcinoma tissue slide using IHC0588H (Human Cytokeratin 6 Kit).
Immunohistochemical analysis of paraffin embedded Human tonsil tissue slide using IHC0588H (Human Cytokeratin 6 Kit).
版权所有 2004-2026 www.bioss.com.cn 北京博奥森生物技术有限公司
通过国际质量管理体系ISO 9001:2015 GB/T 19001-2016    证书编号: 00124Q34771R2M/1100
通过国际医疗器械-质量管理体系ISO 13485:2016 GB/T 42061-2022     证书编号: CQC24QY20047R0M/1100
京ICP备05066980号-1         京公网安备110107000727号